症例詳細
Case detail
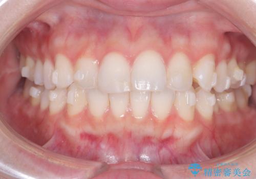
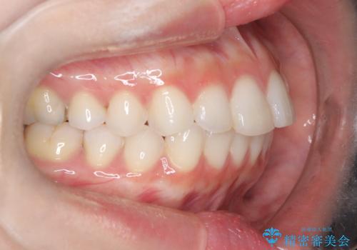
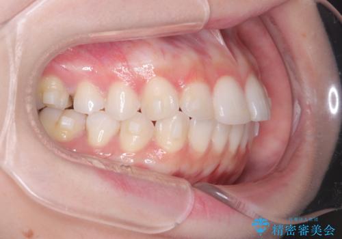
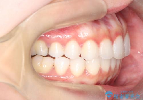
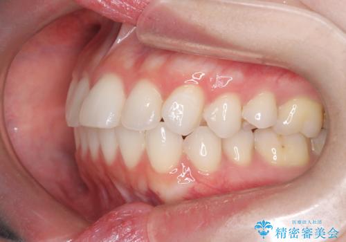
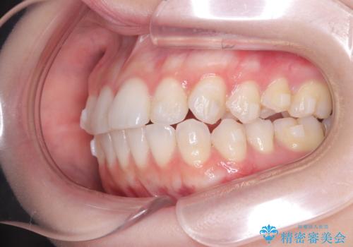
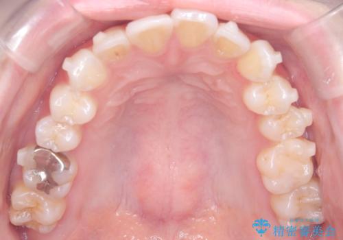
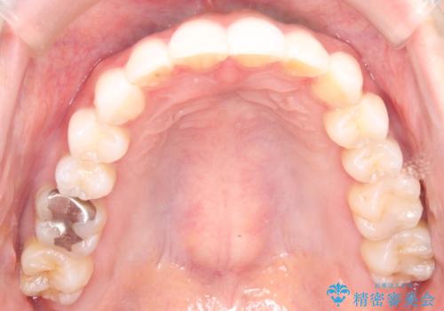
左の八重歯を、目立たないマウスピース矯正で改善
治療症例の内容
- 診療科目
- 治療カテゴリ
- 担当医
- 河口智英(ドクタープロフィール)
- 患者様
- 20代女性
- 治療期間
- 治療回数
- 5-10回
- 治療計画
- 左の八重歯と歯並びの乱れを気にされてご来院されました。精密な検査の結果、八重歯を正しい位置に誘導するためのスペースが必要と判明。患者様のご希望に合わせ、透明で目立ちにくい**インビザライン(マウスピース矯正)**による治療計画を立案しました。歯を効率よく移動させ、見た目と機能性を両立させた美しい歯並びの獲得を目指します。
- 費用(概算)
- 55万円費用は治療当時の料金となります
治療について
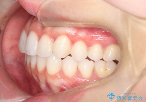
今回の矯正治療では、透明でほとんど目立たないマウスピース型矯正装置インビザラインを使用しました。この装置は、取り外しができるため、衛生的に保ちやすく、日常生活への影響も最小限に抑えられます。緻密なデジタル計画に基づき、八重歯が並ぶスペースを確保しながら、段階的に歯を動かしました。治療の結果、左の八重歯はきれいに解消され、整った自然な歯並びになりました。見た目と機能、そして治療中の快適さを兼ね備えた矯正治療を完遂していただけました。
マウスピース矯正の注意事項(リスク・副作用など)
- 口腔内・歯並びの状態によっては対応できない場合があります
- マウスピース型矯正装置の長時間装着(1日20時間以上)が必須です
- 治療計画通りに進めるためには、患者様の意志が重要になります
- 矯正治療後の保定が不十分だと後戻り(元の位置に戻ろうとする動き)をします
- 薬機法対象外の矯正歯科装置のため医薬品副作用被害救済制度の対象外となる場合があります
- 自費診療(保険適用外)となります
当サイトの内容、テキスト、画像等の無断転載、複製、複写、盗用を固く禁じます。















