症例詳細
Case detail
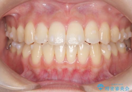
前歯のデコボコと突出を、目立たない矯正で解消
治療症例の内容
- 診療科目
- 治療カテゴリ
- 担当医
- 河口智英(ドクタープロフィール)
- 患者様
- 20代女性
- 治療期間
- 1年
- 治療回数
- 5-10回
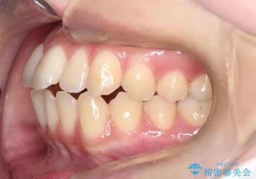
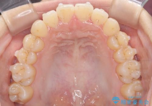
- 治療計画
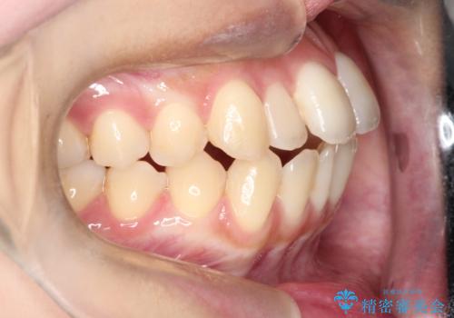
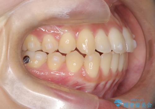
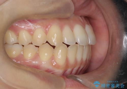
- 前歯のガタガタ(叢生)と、前歯が出ている(突出している)ことを気にされてご来院されました。精密な検査の結果、歯が並ぶスペースと、前歯を引っ込めるスペースの両方が不足していると診断。患者様のご希望に合わせ、透明で目立ちにくいインビザライン(マウスピース矯正)による治療計画を立案しました。スペースの確保は、奥歯全体を奥へ動かす遠心移動と、歯の側面をわずかに削る**IPR(歯間乳頭保護下ストリッピング)**を組み合わせて行い、前歯を効果的に引っ込めることを目指します。
- 費用(概算)
- 80万円費用は治療当時の料金となります
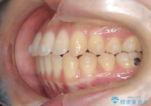
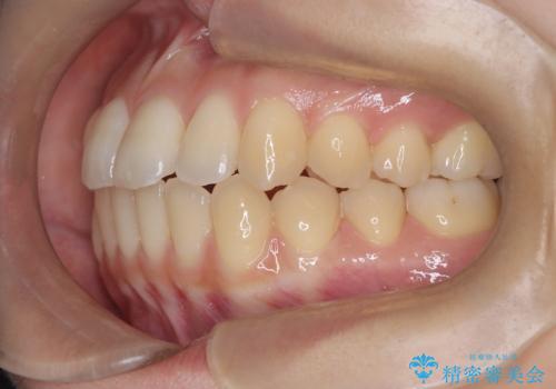
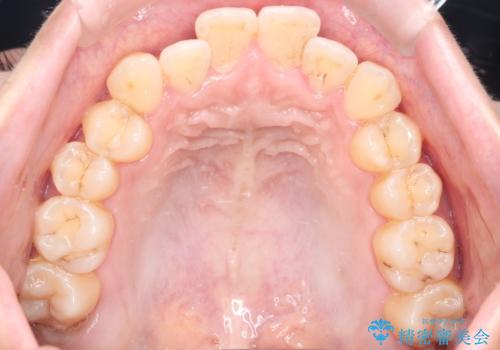
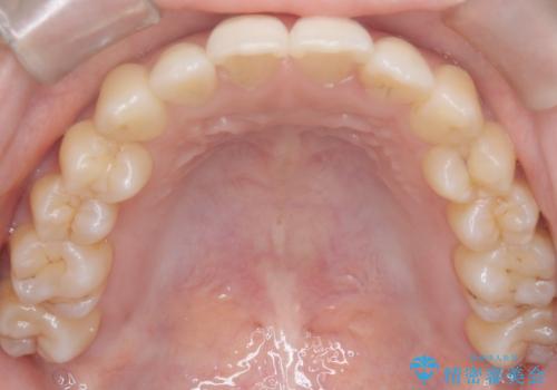
治療について
今回の矯正治療では、透明なマウスピース型の装置インビザラインを使用しました。前歯を無理なく引っ込めるスペースを作るため、まず奥歯全体を後方へ移動させる遠心移動を実施。さらに、安全性が確保できる範囲で歯の側面をわずかに削るIPRを併用し、必要なスペースを確保しました。これらの処置により、前歯のデコボコが解消され、前に出ていた前歯も適切に引っ込みました。目立たない装置で治療を完結することで、叢生と突出感が解消され、機能性と審美性が向上した美しい口元を獲得していただけました。
マウスピース矯正の注意事項(リスク・副作用など)
- 口腔内・歯並びの状態によっては対応できない場合があります
- マウスピース型矯正装置の長時間装着(1日20時間以上)が必須です
- 治療計画通りに進めるためには、患者様の意志が重要になります
- 矯正治療後の保定が不十分だと後戻り(元の位置に戻ろうとする動き)をします
- 薬機法対象外の矯正歯科装置のため医薬品副作用被害救済制度の対象外となる場合があります
- 自費診療(保険適用外)となります
当サイトの内容、テキスト、画像等の無断転載、複製、複写、盗用を固く禁じます。















