症例詳細
Case detail
奥歯の再治療をしたい ゴールドインレー
治療症例の内容
- 診療科目
- 治療カテゴリ
- 担当医
- 小澤俊哉(ドクタープロフィール)
- 患者様
- 30代男性
- 治療期間
- 治療回数
- 2-5回
- 治療計画
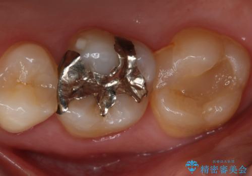
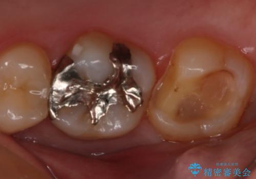
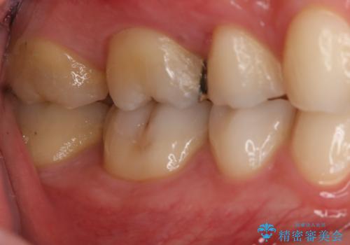
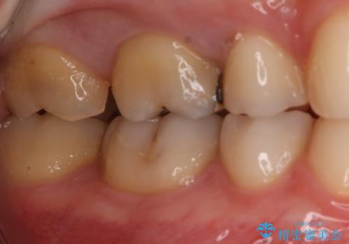
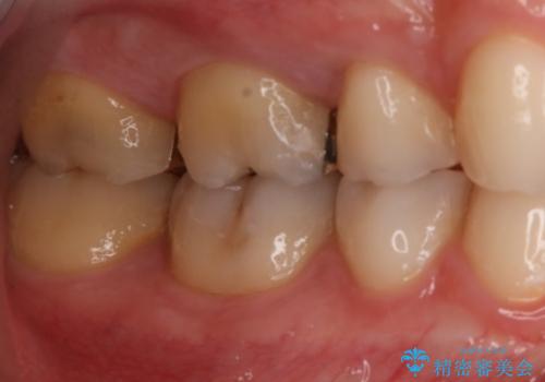
- 右上大臼歯の再治療を希望され来院された患者様です。
切削量と形状を考慮し、インレーでの治療を計画しました。
患者様がゴールドを希望されたのでゴールドインレーを選択しました。
- 費用(概算)
- 77000円費用は治療当時の料金となります
治療について
ゴールドは金属の中でも硬すぎず破折すこともほとんどないため歯科の治療に適した材料と言われています。
PGA(ゴールド)クラウン、インレーの注意事項(リスク・副作用など)
- インレーおよびクラウンは脱離するリスクがあります
- 形成量はセラミックより少ないですが、歯の形成、修復後に歯に症状が出ることがあります
- 自費診療(保険適用外治療)となります
当サイトの内容、テキスト、画像等の無断転載、複製、複写、盗用を固く禁じます。











