症例詳細
Case detail
セラミックとゴールドを用いた奥歯のむし歯治療
治療症例の内容
- 診療科目
- 治療カテゴリ
- 担当医
- 藤巻太一朗(ドクタープロフィール)
- 患者様
- 50代女性
- 治療期間
- 2ヶ月
- 治療回数
- 2-5回
- 治療計画
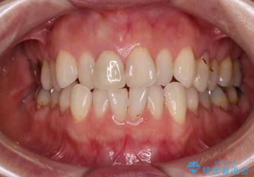
- 奥歯の銀歯の下にあるむし歯治療を希望して来院された患者様です。
下顎および、上顎の目立つ部分はセラミックインレーに、上顎の目立たない部分はゴールドインレーにてむし歯治療を行うこととしました。
- 費用(概算)
- 治療費の目安: ゴールドインレー6万円/1歯 セラミックインレー7万円/1歯費用は治療当時の料金となります
治療について
奥歯に負担のかかりやすい咬み合わせであるため、上顎の大臼歯は極力ゴールドインレーによる修復治療とし、咬み合うセラミックインレーに負担のかからないようにしました。
銀歯の時には不適合な隙間にものが詰まり、不快な臭いに悩まされていましたが、治療後はそのような臭いもなくなり、患者様には大変満足していただきました。
リスクについて
セラミックは破折などにより修復や再製作が必要となることがあります。
セラミック治療の注意事項(リスク・副作用など)
- 天然歯を削ります
- 硬い素材は天然歯を傷つけてしまう場合があります
- かみ合わせや歯ぎしりが強すぎる方はセラミックが割れてしまう可能性があります
- 自費診療(保険適用外治療)となります
PGA(ゴールド)クラウン、インレーの注意事項(リスク・副作用など)
- インレーおよびクラウンは脱離するリスクがあります
- 形成量はセラミックより少ないですが、歯の形成、修復後に歯に症状が出ることがあります
- 自費診療(保険適用外治療)となります
当サイトの内容、テキスト、画像等の無断転載、複製、複写、盗用を固く禁じます。














