症例詳細
Case detail
エンドペリオ病変と虫歯を同時に改善したインプラント・セラミック治療症例
治療症例の内容
- 担当医
- 河野豊嘉(ドクタープロフィール)
- 患者様
- 60代男性
- 治療期間
- 5ヶ月
- 治療回数
- 2-5回
- 治療計画
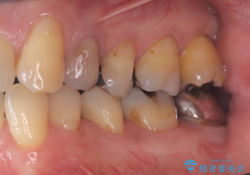
- 「歯が痛い」「浮く感じがする」との主訴で来院された患者様です。
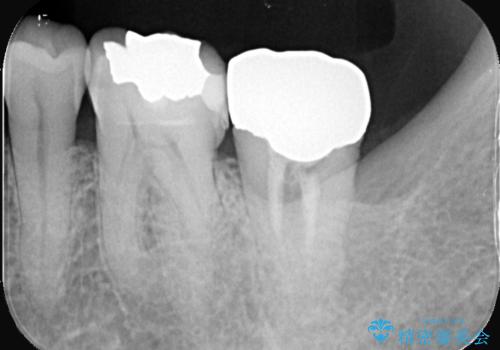
検査の結果、左下7番は歯周ポケットが8mmと深く、レントゲンでも根尖部から骨が溶けている状態が確認されました。エンドペリオ病変と診断し、精密根管治療による保存か、抜歯をしてインプラントで治療するかをご提案したところ、患者様は抜歯・インプラント治療を希望されました。
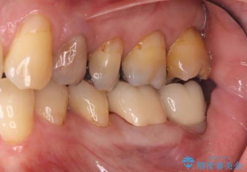
また、左下6番は銀歯と虫歯を除去した後、見た目や適合性に優れたオールセラミッククラウンで修復を行いました。
- 費用(概算)
- 総額:60万5千円(税込)(インプラントの手術費用とオールセラミッククラウン2本分の費用全て込み)費用は治療当時の料金となります
治療について
インプラントとセラミック治療を組み合わせることで、見た目も自然で噛み心地の良い状態を回復することができ、患者様にも大変ご満足いただけました。
セラミック治療の注意事項(リスク・副作用など)
- 天然歯を削ります
- 硬い素材は天然歯を傷つけてしまう場合があります
- かみ合わせや歯ぎしりが強すぎる方はセラミックが割れてしまう可能性があります
- 自費診療(保険適用外治療)となります
インプラント治療の注意事項(リスク・副作用など)
- 外科手術のため、術後に痛みや腫れ、違和感を伴います
- メンテナンスを怠ったり喫煙により、お口の中に大きな悪影響を及ぼすインプラント周囲炎等にかかる可能性があります
- 糖尿病、肝硬変、心臓病等の場合、インプラント治療ができない可能性があります
- 高血圧、貧血・不整脈等の場合、インプラント治療後に治癒不全を招く可能性があります
- 自費診療(保険適用外治療)となります
当サイトの内容、テキスト、画像等の無断転載、複製、複写、盗用を固く禁じます。










