症例詳細
Case detail
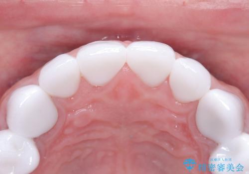
前歯のクラウンをやり変え、歯肉のラインも美しく
治療症例の内容
- 診療科目
- 治療カテゴリ
-
- 担当医
- 河口智英(ドクタープロフィール)
- 患者様
- 20代男性
- 治療期間
- 2ヶ月
- 治療回数
- 2-5回
- 治療計画
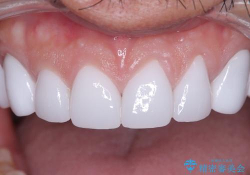
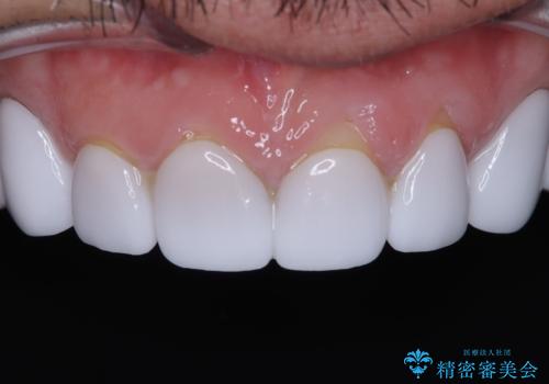
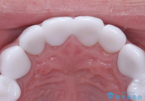
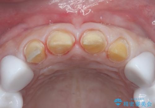
- 他院で昔入れた前歯4本のクラウンの変色と、歯肉が下がって見た目が悪くなってきたことを主訴に来院されました。お口の中を診査した結果、歯肉の退縮によりクラウンの境目が見え、見た目の不調和が生じていました。患者様と相談し、今回は歯肉のラインに合わせたオールセラミッククラウンで修復する計画を立案。まずは古いクラウンを丁寧に撤去し、新しいクラウンを装着するための準備を進めることになりました。患者様のご希望により、根面被覆術は行いませんでした。
- 費用(概算)
- 60万円費用は治療当時の料金となります
治療について
治療では、まず古いクラウンを慎重に取り外し、歯肉の状態を整えました。その後、精密な型取りから患者様一人ひとりに合わせたオーダーメイドのオールセラミッククラウンを作製。金属を一切使用しないため、歯肉の変色を防ぎ、天然歯のような透明感と美しさを再現します。新しいクラウンは、歯肉のラインに合わせてぴったりと適合するよう調整し、見た目の違和感を解消。長年の悩みが解決し、自然で美しい口元と笑顔を取り戻していただけました。
セラミック治療の注意事項(リスク・副作用など)
- 天然歯を削ります
- 硬い素材は天然歯を傷つけてしまう場合があります
- かみ合わせや歯ぎしりが強すぎる方はセラミックが割れてしまう可能性があります
- 自費診療(保険適用外治療)となります
当サイトの内容、テキスト、画像等の無断転載、複製、複写、盗用を固く禁じます。











