症例詳細
Case detail
必ずしもワイヤーでなくても大丈夫!インビザラインでデコボコ歯列&過蓋咬合を改善
治療症例の内容
- 担当医
- 河野豊嘉(ドクタープロフィール)
- 患者様
- 20代男性
- 矯正装置
- インビザライン
- 治療期間
- 1年5ヶ月
- 治療回数
- 10-30回
- 治療計画
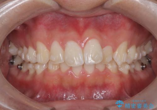
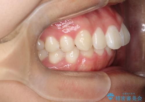
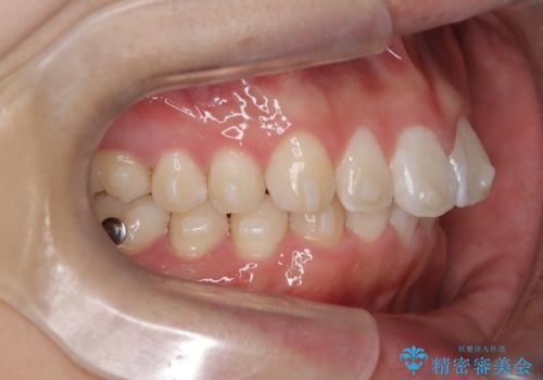
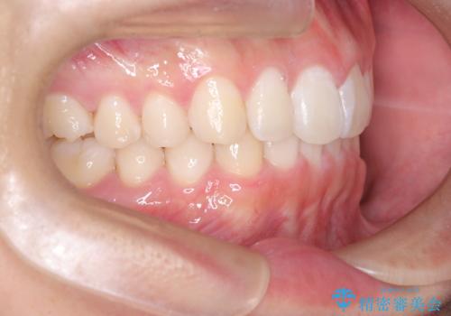
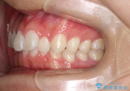
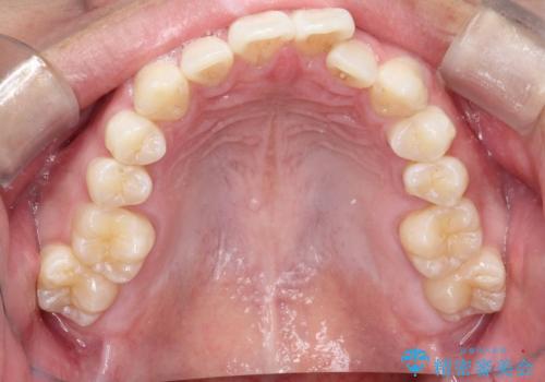
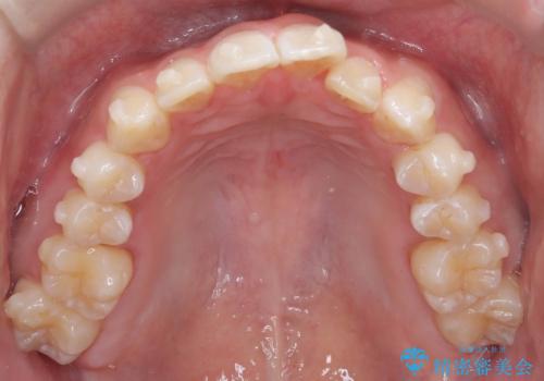
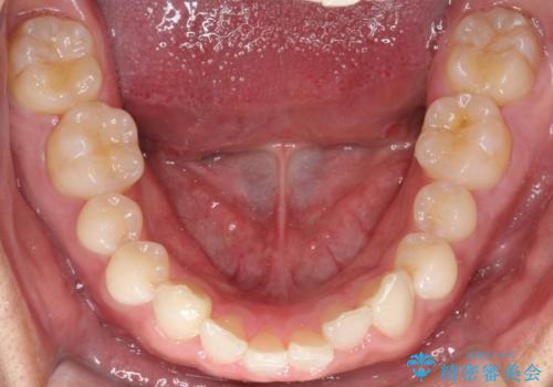
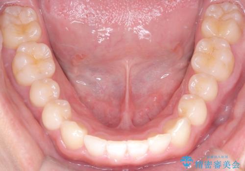
- 歯のデコボコと過蓋咬合を主訴に来院された患者様です。
アーチの拡大とIPRを行い非抜歯で治療を行いました。
- 費用(概算)
- 88万円(税込)通院費込み費用は治療当時の料金となります
治療について
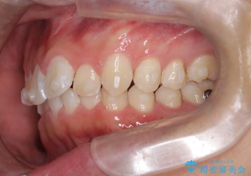
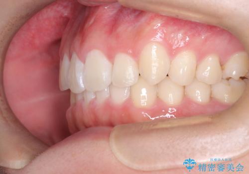
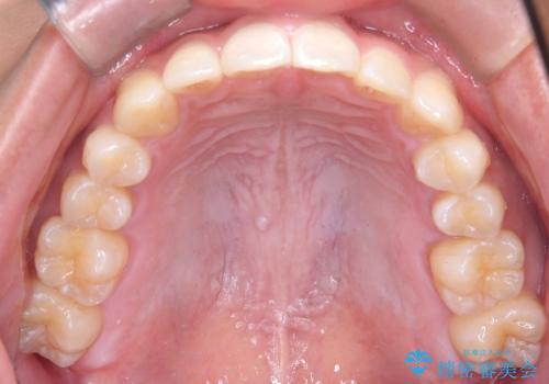
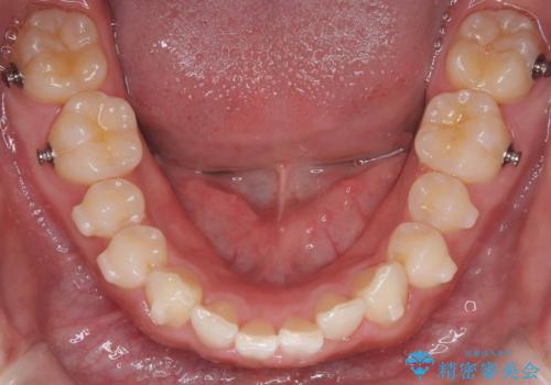
歯を抜かずに叢生(デコボコ歯列)と過蓋咬合を改善する事が出来ました。
インビザラインによる治療でも十分に美しい歯並びを実現でき、患者様にも大変ご満足いただけました。
マウスピース矯正の注意事項(リスク・副作用など)
- 口腔内・歯並びの状態によっては対応できない場合があります
- マウスピース型矯正装置の長時間装着(1日20時間以上)が必須です
- 治療計画通りに進めるためには、患者様の意志が重要になります
- 矯正治療後の保定が不十分だと後戻り(元の位置に戻ろうとする動き)をします
- 薬機法対象外の矯正歯科装置のため医薬品副作用被害救済制度の対象外となる場合があります
- 自費診療(保険適用外)となります
当サイトの内容、テキスト、画像等の無断転載、複製、複写、盗用を固く禁じます。





















