症例詳細
Case detail
目立たない矯正で口元をすっきりと
治療症例の内容
- 診療科目
- 治療カテゴリ
- 担当医
- 河口智英(ドクタープロフィール)
- 患者様
- 30代女性
- 治療期間
- 2年6ヶ月
- 治療回数
- 10-30回
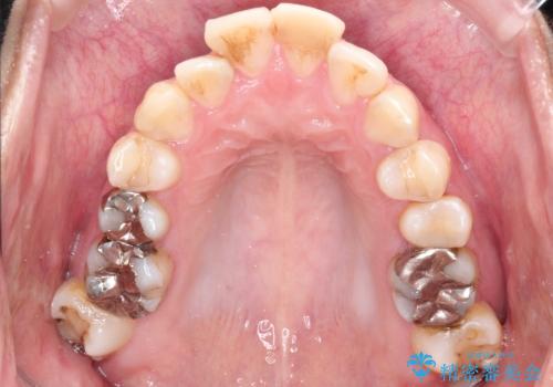
- 治療計画
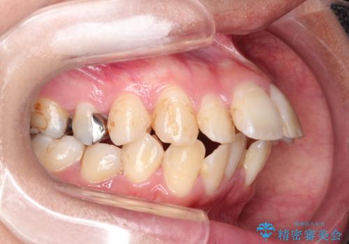
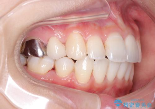
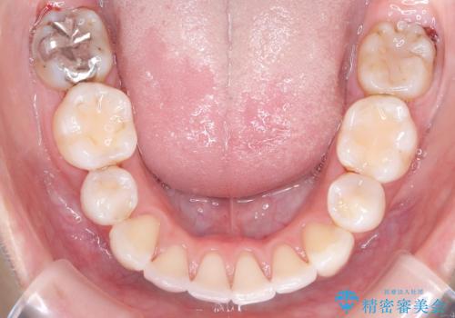
- 口元が出ていることを気にされて来院されました。精密な検査の結果、歯列全体のスペースが不足していることが判明。患者様のご希望である「口元を下げたい」というご要望を叶えるため、上下左右の小臼歯を抜歯し、そのスペースを利用して前歯を奥へ移動させる治療計画を立案しました。また、仕事上、目立つ矯正装置を避けたいというご希望から、上顎に裏側矯正、下顎に表側矯正を組み合わせたハーフリンガル矯正を提案しました。
- 費用(概算)
- 130万円費用は治療当時の料金となります
治療について
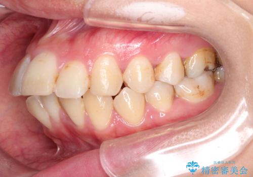
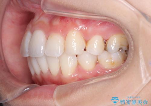
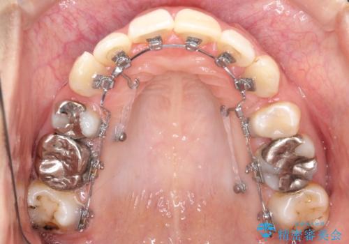
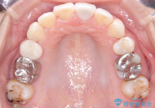
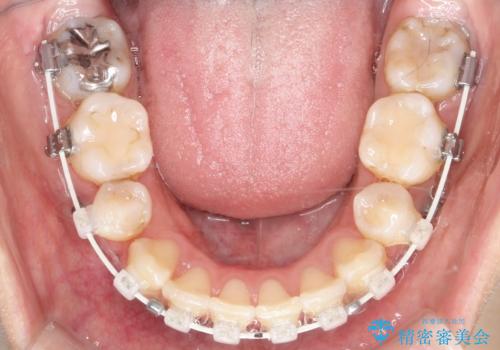
今回の矯正治療では、口元を大きく下げるため、上下左右の小臼歯を抜歯しました。装置には、上顎は歯の裏側に装着する裏側矯正(舌側矯正)を、下顎は透明で目立ちにくい審美ブラケットを使用するハーフリンガル矯正を選択。これにより、治療中も他人の目を気にすることなく、ストレスなく過ごしていただけました。抜歯によってできたスペースを有効活用し、歯列全体を後方へ移動させることで、口元の突出感を解消。治療の結果、口元がすっきりと整い、自信のある美しい横顔を獲得していただけました。
ワイヤー矯正の注意事項(リスク・副作用など)
- 治療中は違和感や痛みが起こることがあります
- 症状により、抜歯が必要な場合があります
- 治療中は歯磨きがしにくくなるため、虫歯や歯周病になりやすくなります
- 矯正治療後の保定が不十分だと後戻り(元の位置に戻ろうとする動き)をします
- 自費診療(保険適用外)となります
当サイトの内容、テキスト、画像等の無断転載、複製、複写、盗用を固く禁じます。















