症例詳細
Case detail
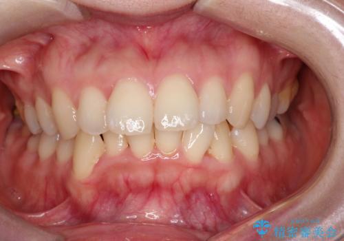
口ボコと歯のデコボコが気になる!|前歯が出ていて口が閉じにくい|審美ワイヤー矯正による口元の改善!
治療症例の内容
- 担当医
- 河野豊嘉(ドクタープロフィール)
- 患者様
- 30代女性
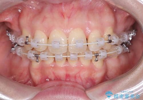
- 矯正装置
- ワイヤー(審美装置)
- 治療期間
- 2年6ヶ月
- 治療回数
- 10-30回
- 治療計画
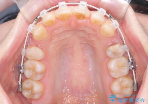
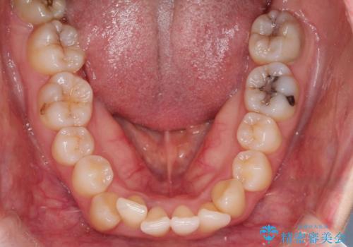
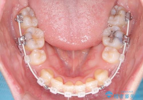
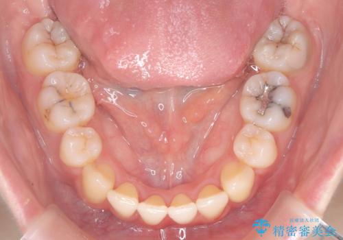
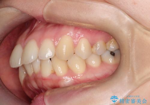
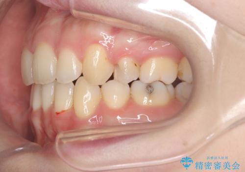
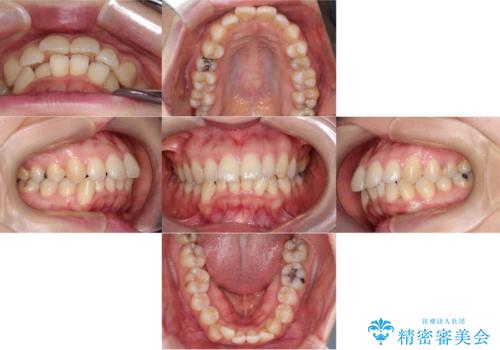
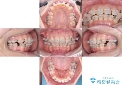
- 「歯のデコボコと前歯が出ているせいで口が閉じにくい」を主訴に来院された患者様です。
上下左右の4番(第一小臼歯)を抜歯をし審美ワイヤー装置で治療を行いました。
- 費用(概算)
- 990,000円(税込 通院費と抜歯の費用全て込み)費用は治療当時の料金となります
治療について
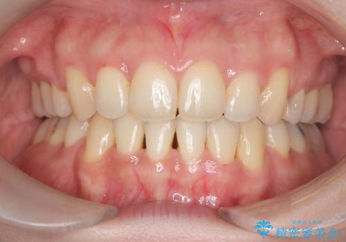
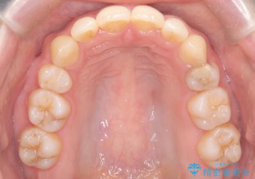
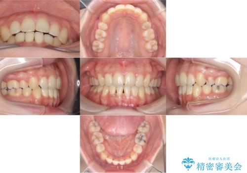
抜歯矯正により歯列のデコボコ(叢生)が改善し、前歯の突出も解消されたことで口元が下がり、すっきりとした印象となりました。
患者様にも大変ご満足いただけました。
ワイヤー矯正の注意事項(リスク・副作用など)
- 治療中は違和感や痛みが起こることがあります
- 症状により、抜歯が必要な場合があります
- 治療中は歯磨きがしにくくなるため、虫歯や歯周病になりやすくなります
- 矯正治療後の保定が不十分だと後戻り(元の位置に戻ろうとする動き)をします
- 自費診療(保険適用外)となります
当サイトの内容、テキスト、画像等の無断転載、複製、複写、盗用を固く禁じます。
























