症例詳細
Case detail
抜歯即時インプラント|切開しないので低侵襲治療|痛く無い治療!
治療症例の内容
- 患者様
- 50代男性
- 治療期間
- 6ヶ月
- 治療回数
- 2-5回
- 治療計画
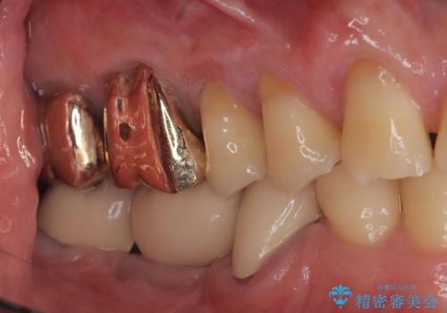
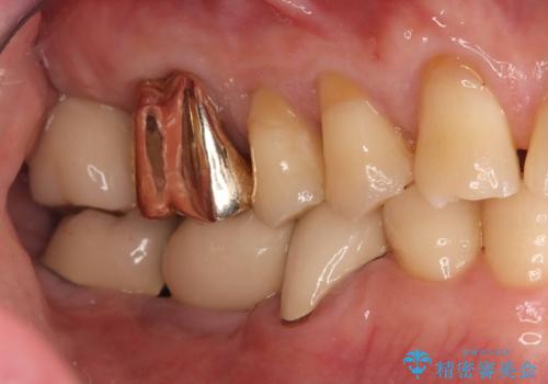
- 当院にて根管治療を行いましたが、病変の改善が得られなかったため、インプラント治療を行う方針といたしました。
抜歯即時埋入の適応と判断し、抜歯当日にインプラント埋入を行う「抜歯即時埋入」にて処置を実施しました。
- 費用(概算)
- 税込583,000円(インプラント手術からオールセラミッククラウンまでの全ての費用込み)費用は治療当時の料金となります
治療について
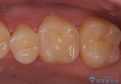
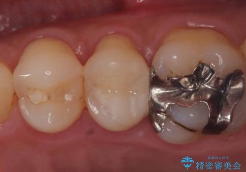
抜歯即時インプラントの利点(共振周波数解析を用いたISQ値の測定により、客観的かつ数値でインプラントの安定性を評価できるようになったため、予知性が高く安全な治療となった。)
●治療期間の短縮
抜歯とインプラント埋入を同時に行うため、抜歯窩の治癒を待つ必要がなく、全体の治療期間を短縮できる。
●低侵襲
抜歯窩を利用してインプラントを埋入するので、歯茎を切る必要が無く術後の痛みが出にくい
●骨の吸収抑制
抜歯後は速やかに歯槽骨の吸収が進むが、即時にインプラントを埋入することで骨吸収を抑制できる。
●審美性の維持
特に前歯部では、抜歯即時インプラントによって歯肉形態や骨形態が維持されやすく、審美的な結果につながる。
●手術回数の削減
抜歯と埋入を同日に行うため、患者の外科的侵襲が1回で済み、身体的・心理的負担が軽減される。
セラミック治療の注意事項(リスク・副作用など)
- 天然歯を削ります
- 硬い素材は天然歯を傷つけてしまう場合があります
- かみ合わせや歯ぎしりが強すぎる方はセラミックが割れてしまう可能性があります
- 自費診療(保険適用外治療)となります
インプラント治療の注意事項(リスク・副作用など)
- 外科手術のため、術後に痛みや腫れ、違和感を伴います
- メンテナンスを怠ったり喫煙により、お口の中に大きな悪影響を及ぼすインプラント周囲炎等にかかる可能性があります
- 糖尿病、肝硬変、心臓病等の場合、インプラント治療ができない可能性があります
- 高血圧、貧血・不整脈等の場合、インプラント治療後に治癒不全を招く可能性があります
- 自費診療(保険適用外治療)となります
当サイトの内容、テキスト、画像等の無断転載、複製、複写、盗用を固く禁じます。














