症例詳細
Case detail
目立たないマウスピース矯正で下の前歯のデコボコをスッキリ解消!たった1年で整った歯並びに
治療症例の内容
- 診療科目
- 治療カテゴリ
- 担当医
- 齋藤佑磨(ドクタープロフィール)
- 患者様
- 20代女性
- 矯正装置
- インビザラインコンプリヘンシブ
- 治療期間
- 1年
- 治療回数
- 5-10回
- 治療計画
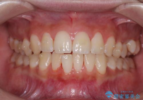
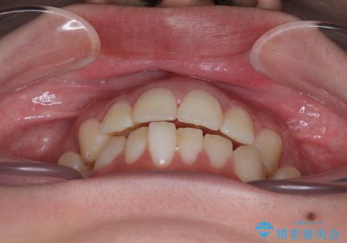
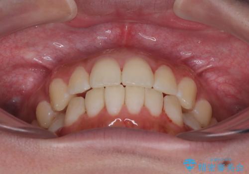
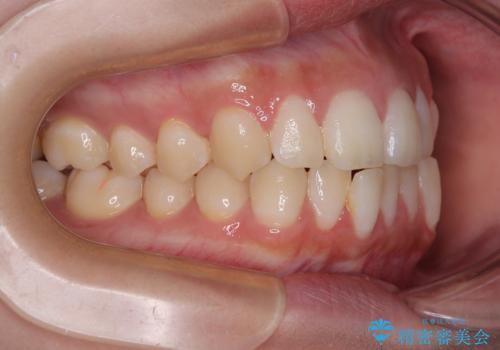
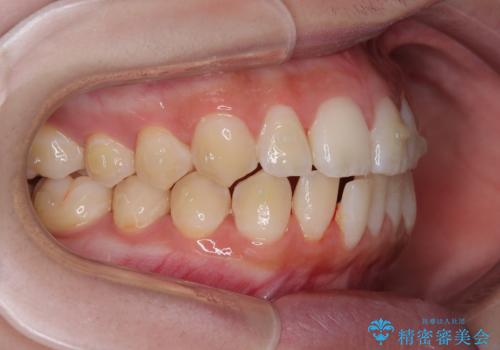
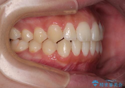
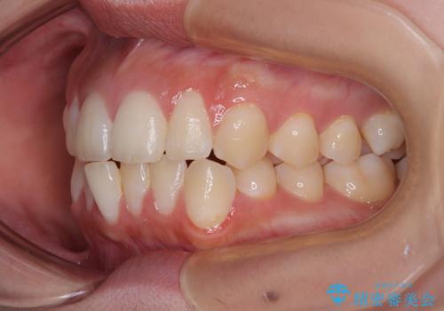
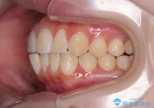
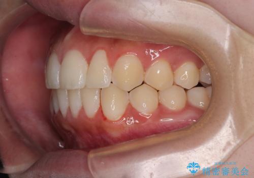
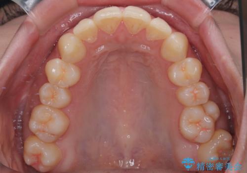
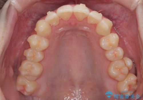
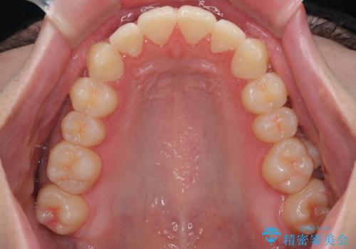
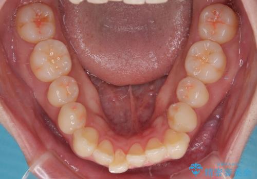
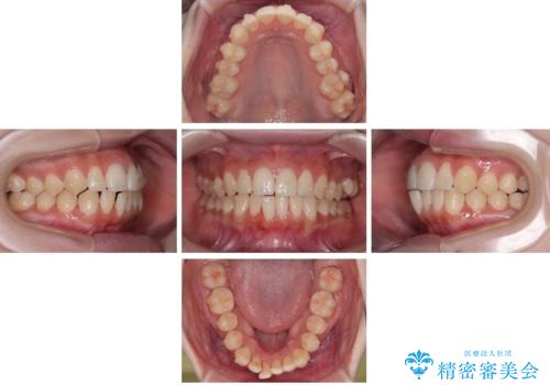
- 今回は「下の前歯のデコボコを治したい」と来院された患者様の症例をご紹介します。
患者様は「目立たない装置で矯正したい」との希望があり、当院では透明なマウスピース型矯正装置(インビザライン)による治療を提案しました。
診察してみると、下の前歯が並ぶためのスペースが足りないことが、歯並びがデコボコしている原因でした。
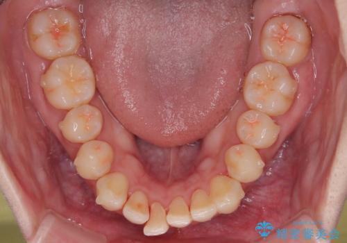
そこで今回は、以下の2つの方法を組み合わせて治療を行いました:
下の前歯の歯と歯の間をわずかに削ってスペースを作る(IPR)
奥歯を後ろに動かして、前歯が並ぶためのスペースを確保する
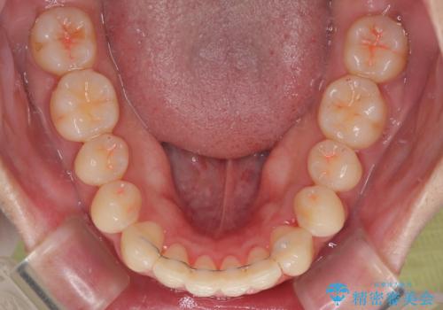
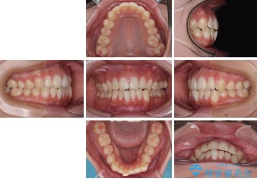
この計画により、デコボコだった下の前歯はしっかりと並び、わずか1年で治療を終えることができました
- 費用(概算)
- 88万円(税込)費用は治療当時の料金となります
治療について
見た目が気にならないマウスピース矯正だったこともあり、患者様にも大変ご満足いただけました。
見た目を気にせず、効率的に歯並びを整えたい方は、ぜひ一度ご相談ください。
マウスピース矯正の注意事項(リスク・副作用など)
- 口腔内・歯並びの状態によっては対応できない場合があります
- マウスピース型矯正装置の長時間装着(1日20時間以上)が必須です
- 治療計画通りに進めるためには、患者様の意志が重要になります
- 矯正治療後の保定が不十分だと後戻り(元の位置に戻ろうとする動き)をします
- 薬機法対象外の矯正歯科装置のため医薬品副作用被害救済制度の対象外となる場合があります
- 自費診療(保険適用外)となります
当サイトの内容、テキスト、画像等の無断転載、複製、複写、盗用を固く禁じます。


























