症例詳細
Case detail
奥歯が取れた フルジルコニアクラウン
治療症例の内容
- 診療科目
- 治療カテゴリ
- 担当医
- 小澤俊哉(ドクタープロフィール)
- 患者様
- 50代男性
- 治療期間
- 治療回数
- 2-5回
- 治療計画
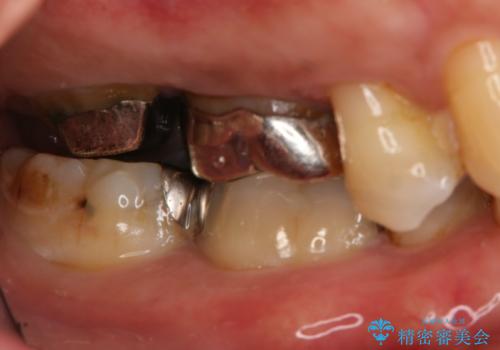
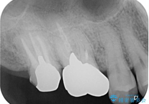
- 右上大臼歯の被せ物が取れたので作り直しを希望された患者様です。
被せ物は白くしたいとのことだったのでフルジルコニアクラウンでの治療を選択しました。
- 費用(概算)
- 99000円(フルジルコニアクラウン+仮歯)費用は治療当時の料金となります
治療について
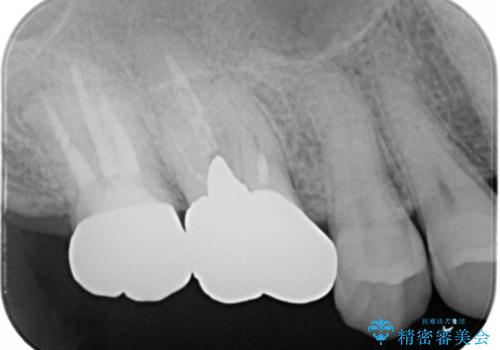
根管治療も必要だったので金属の土台を除去し、新しく土台を立て直した上で被せ物を装着しています。
セラミック治療の注意事項(リスク・副作用など)
- 天然歯を削ります
- 硬い素材は天然歯を傷つけてしまう場合があります
- かみ合わせや歯ぎしりが強すぎる方はセラミックが割れてしまう可能性があります
- 自費診療(保険適用外治療)となります
当サイトの内容、テキスト、画像等の無断転載、複製、複写、盗用を固く禁じます。











