症例詳細
Case detail
銀歯を白くしたいセラミック治療。
治療症例の内容
- 診療科目
- 治療カテゴリ
- 担当医
- 青山卓弘(ドクタープロフィール)
- 患者様
- 40代女性
- 治療期間
- 6ヶ月
- 治療回数
- 5-10回
- 治療計画
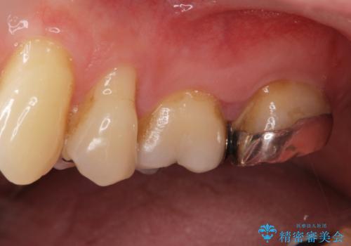
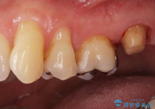
- 奥の銀歯を白くしたいとの事で来院。
痛みはないとの事でしたがレントゲンを撮影したところ根の先に病巣がある事がわかりました。
被せ物、古い材料を徹底的に除去し、ラバーダム防湿にて無菌的処置を行い、セラミックの被せ物で治療を行いました。
- 費用(概算)
- ジルコニアクラウンスタンダード・仮歯 12.1万円 精密根管治療(リトリートメント) 14.3万円 ファイバーコア 2.2万円費用は治療当時の料金となります
治療について
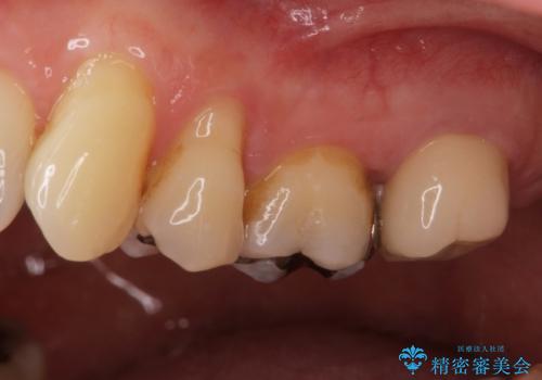
治療が終了してからも定期的にレントゲンをとり経過観察を行いました。
病巣は現在縮小しておりまた白い被せ物が入り患者様に満足してもらえました。
セラミック治療の注意事項(リスク・副作用など)
- 天然歯を削ります
- 硬い素材は天然歯を傷つけてしまう場合があります
- かみ合わせや歯ぎしりが強すぎる方はセラミックが割れてしまう可能性があります
- 自費診療(保険適用外治療)となります
根管治療の注意事項(リスク・副作用など)
- 根管治療により類似の全ての症例の問題が解決するわけではなく、症例はあくまでも一例です
- 根管治療により痛みや腫れがひかない事や、術後に痛みや腫れが生じる事、治療によるファイル破折やパーフォレーションなどの偶発症、術後の歯根破折を生じる可能性もあります
- 自費診療(保険適用外)となります
その他の注意事項(リスク・副作用など)
- 担当歯科医師、歯科衛生士又は医院スタッフから受けた説明・注意事項をよくご確認ください
- 医療を提供するに当たり、適切な説明を行い、患者様の十分な理解を得るよう努めております
当サイトの内容、テキスト、画像等の無断転載、複製、複写、盗用を固く禁じます。












