症例詳細
Case detail
右奥歯治療が必要と言われた。
治療症例の内容
- 診療科目
- 治療カテゴリ
- 担当医
- 青山卓弘(ドクタープロフィール)
- 患者様
- 40代女性
- 治療期間
- 2ヶ月
- 治療回数
- 2-5回
- 治療計画
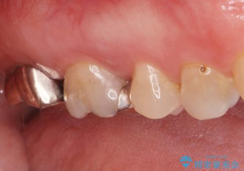
- 他院で右奥歯の治療が必要と言われて来院。
レントゲンと,CT撮影を行なったところ右上小臼歯が虫歯、右上第二大臼歯には根の先に大きな病気がありました。
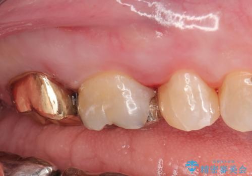
手前の歯はセラミック治療を行い、奥の歯は精密根管治療を行いゴールドクラウンで治療を行いました。
- 費用(概算)
- e-maxインレー 7.7万 ゴールドクラウン 14.3万 根管治療(リトリートメント) 14.3万円 ファイバーコア 2.2万円費用は治療当時の料金となります
治療について
セラミックインレーは古い材料を拡大鏡でしっかり取り除き適合の良い詰め物が装着されました。
根管治療はラバーダム防湿を行い、無菌的な状態で治療を行っています。
CTでは経過良好で経過観察を行なっていきます。
セラミック治療の注意事項(リスク・副作用など)
- 天然歯を削ります
- 硬い素材は天然歯を傷つけてしまう場合があります
- かみ合わせや歯ぎしりが強すぎる方はセラミックが割れてしまう可能性があります
- 自費診療(保険適用外治療)となります
その他の注意事項(リスク・副作用など)
- 担当歯科医師、歯科衛生士又は医院スタッフから受けた説明・注意事項をよくご確認ください
- 医療を提供するに当たり、適切な説明を行い、患者様の十分な理解を得るよう努めております
根管治療の注意事項(リスク・副作用など)
- 根管治療により類似の全ての症例の問題が解決するわけではなく、症例はあくまでも一例です
- 根管治療により痛みや腫れがひかない事や、術後に痛みや腫れが生じる事、治療によるファイル破折やパーフォレーションなどの偶発症、術後の歯根破折を生じる可能性もあります
- 自費診療(保険適用外)となります
PGA(ゴールド)クラウン、インレーの注意事項(リスク・副作用など)
- インレーおよびクラウンは脱離するリスクがあります
- 形成量はセラミックより少ないですが、歯の形成、修復後に歯に症状が出ることがあります
- 自費診療(保険適用外治療)となります
当サイトの内容、テキスト、画像等の無断転載、複製、複写、盗用を固く禁じます。










