症例詳細
Case detail
【根管治療】【セラミッククラウン】根っこが細くて治療できないと言われた
治療症例の内容
- 診療科目
- 担当医
- 町田睦月(ドクタープロフィール)
- 患者様
- 20代女性
- 治療期間
- 1ヶ月
- 治療回数
- 2-5回
- 治療計画
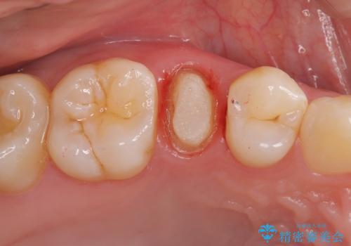
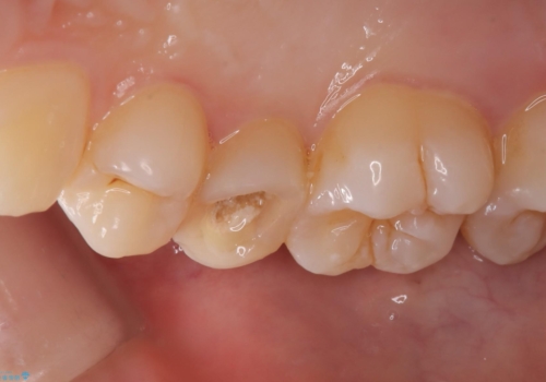
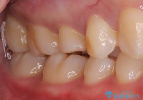
- 主訴:他院で根っこの治療を行っていたところ、根が細く治療が難しいと言われてしまった
右上5番目の歯が根管治療途中となっており、前医院にて根管が狭く治療が難しいと言われてしまいセカンドオピニオンで当院にいらっしゃいました。
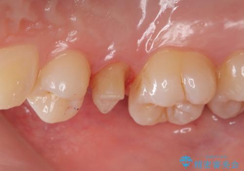
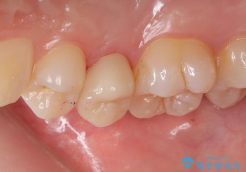
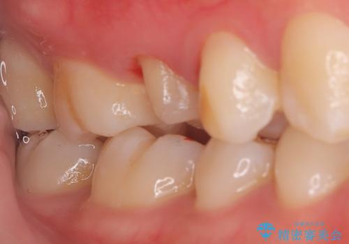
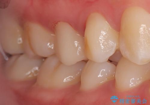
精密根管治療を行うこととしました。
- 費用(概算)
- 264,000円(税込み)費用は治療当時の料金となります
治療について
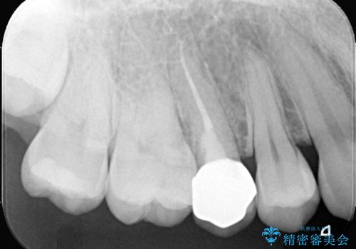
右上5番レントゲン写真上では根管が確認しずらく、根管の狭窄が予想されました。マイクロスコープを使用し、根尖部まで器具を到達させ十分根管洗浄を行うことができました。
治療費内訳
・精密根管治療 100,000円(税抜き)
・ファイバ-コア 20,000円(税抜き)
・仮歯 10,000円(税抜き)
・オールセラミッククラウン(スタンダード) 110,000円(税抜き)
計240,000円(税抜き)
セラミック治療の注意事項(リスク・副作用など)
- 天然歯を削ります
- 硬い素材は天然歯を傷つけてしまう場合があります
- かみ合わせや歯ぎしりが強すぎる方はセラミックが割れてしまう可能性があります
- 自費診療(保険適用外治療)となります
根管治療の注意事項(リスク・副作用など)
- 根管治療により類似の全ての症例の問題が解決するわけではなく、症例はあくまでも一例です
- 根管治療により痛みや腫れがひかない事や、術後に痛みや腫れが生じる事、治療によるファイル破折やパーフォレーションなどの偶発症、術後の歯根破折を生じる可能性もあります
- 自費診療(保険適用外)となります
当サイトの内容、テキスト、画像等の無断転載、複製、複写、盗用を固く禁じます。













