症例詳細
Case detail
【インプラント】セラミックのブリッジが何度も壊れてしまう
治療症例の内容
- 担当医
- 町田睦月(ドクタープロフィール)
- 患者様
- 50代男性
- 治療期間
- 3ヶ月
- 治療回数
- 2-5回
- 治療計画
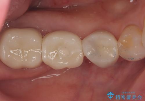
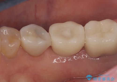
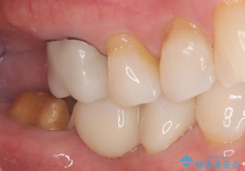
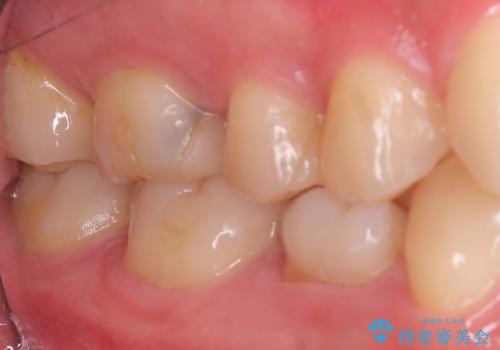
- 主訴:右下のセラミックのブリッジが何度も同じところで折れて壊れてしまう。
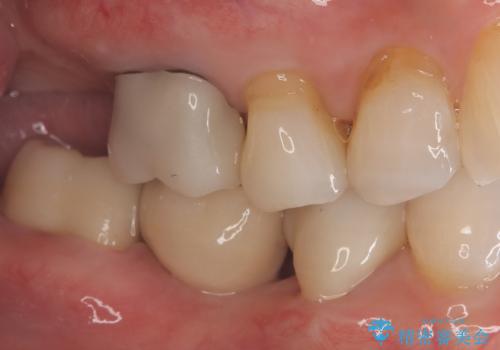
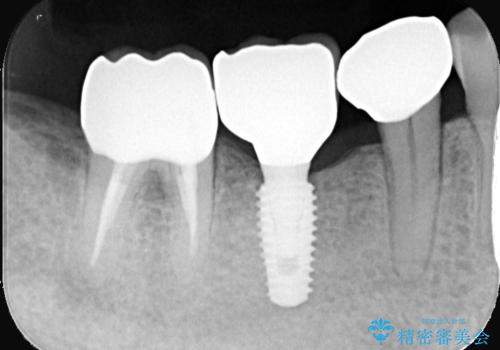
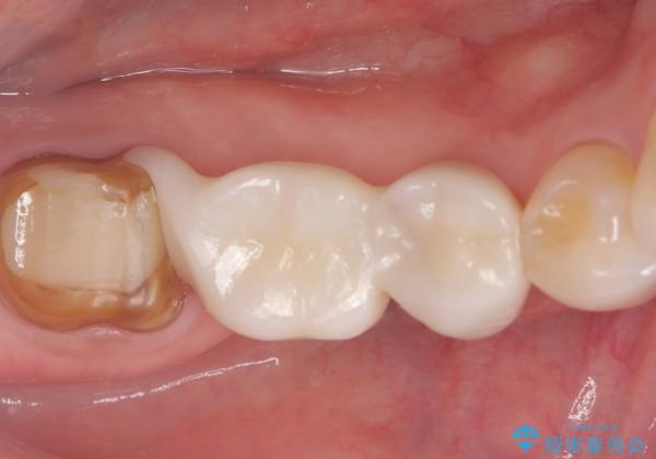
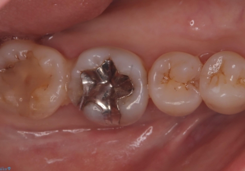
対合歯との咬合関係において、右下7番目と6番目の被せものの連結部がたわみやすい環境にあったため、ブリッジの新製ではなくインプラント治療を行いすべての歯を単冠仕上げとすることにしました。
- 費用(概算)
- 737,000円(税込み)費用は治療当時の料金となります
治療について
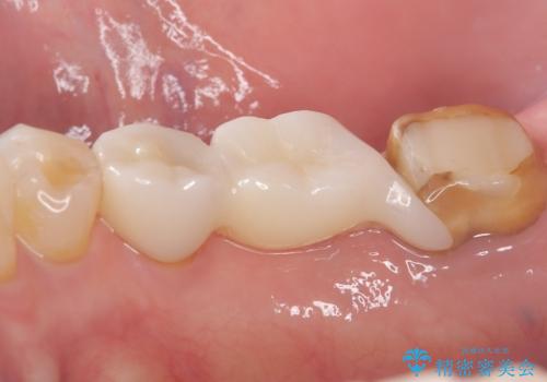
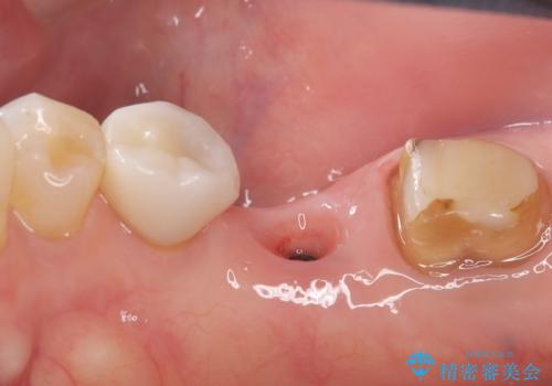
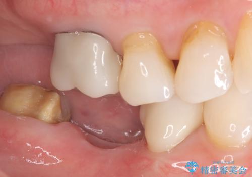
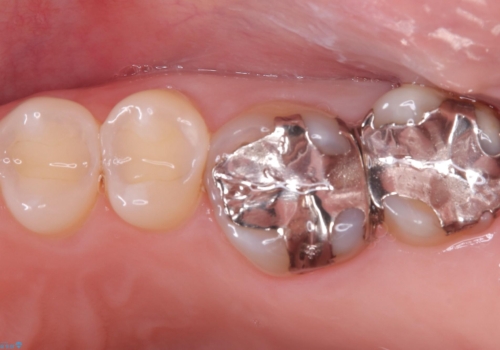
何度も右下6、7間でブリッジが折れてしまうとのことでした。対合歯とブリッジの連結部が強く当たりたわみやすい状態でした。破折しずらい金属を使用したブリッジの選択もありましたが、支台歯(右下7)が失活歯場合、破折リスクが高く、破折してしまった場合にまたブリッジを外しての再治療になってしまう可能性を説明したところ、全て単冠仕上げとできるインプラント治療を希望されました。
右下5番のクラウンは、ブリッジを切断しそのまま使用していただいています。
インプラント治療の注意事項(リスク・副作用など)
- 外科手術のため、術後に痛みや腫れ、違和感を伴います
- メンテナンスを怠ったり喫煙により、お口の中に大きな悪影響を及ぼすインプラント周囲炎等にかかる可能性があります
- 糖尿病、肝硬変、心臓病等の場合、インプラント治療ができない可能性があります
- 高血圧、貧血・不整脈等の場合、インプラント治療後に治癒不全を招く可能性があります
- 自費診療(保険適用外治療)となります
セラミック治療の注意事項(リスク・副作用など)
- 天然歯を削ります
- 硬い素材は天然歯を傷つけてしまう場合があります
- かみ合わせや歯ぎしりが強すぎる方はセラミックが割れてしまう可能性があります
- 自費診療(保険適用外治療)となります
当サイトの内容、テキスト、画像等の無断転載、複製、複写、盗用を固く禁じます。











