症例詳細
Case detail
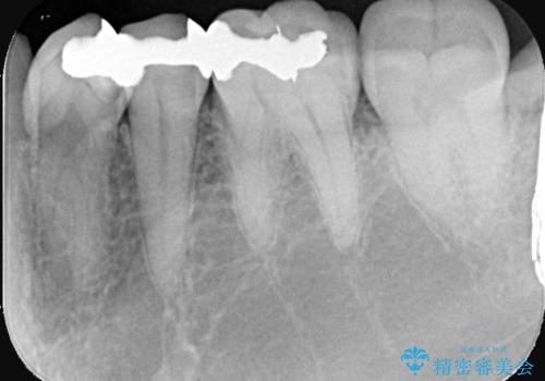
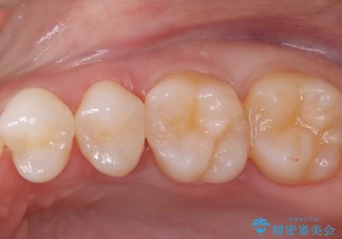
銀歯の下に虫歯 〈オールセラミッククラウン〉
治療症例の内容
- 診療科目
- 治療カテゴリ
- 担当医
- 瀧村怜未(ドクタープロフィール)
- 患者様
- 50代男性
- 治療期間
- 1ヶ月
- 治療回数
- 2-5回
- 治療計画
- 初診時に金属の下に虫歯があることを指摘しました。もともとの詰め物の形と虫歯の大きさから被せものでの治療となりました。見た目、材質の説明をし、セラミッククラウンでの修復となりました。
- 費用(概算)
- 132,000円費用は治療当時の料金となります
治療について
メタルインレーが入っていたこと、う蝕が大きかったこと、頬側にHysに対してのCRがあったことを踏まえてクラウンでの修復を選択しました。
セラミック治療の注意事項(リスク・副作用など)
- 天然歯を削ります
- 硬い素材は天然歯を傷つけてしまう場合があります
- かみ合わせや歯ぎしりが強すぎる方はセラミックが割れてしまう可能性があります
- 自費診療(保険適用外治療)となります
当サイトの内容、テキスト、画像等の無断転載、複製、複写、盗用を固く禁じます。








 
                       
                                                          





 
                   
                   
                  