症例詳細
Case detail
銀歯の下のむし歯 ゴールドクラウンによる補綴治療
治療症例の内容
- 診療科目
- 治療カテゴリ
- 担当医
- 藤巻太一朗(ドクタープロフィール)
- 患者様
- 50代女性
- 治療期間
- 1ヶ月
- 治療回数
- 2-5回
- 治療計画
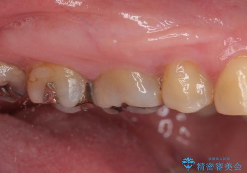
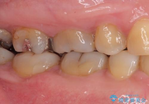
- 奥歯で咬んだときに痛みがあり、物が挟まるとのことで来院された患者様です。
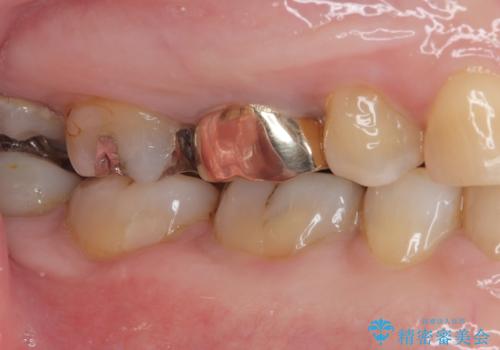
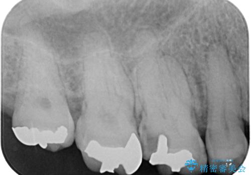
咬み合わせが非常に強く、見た目よりも機能と安定性を重視したいとのことで、PGAクラウン(白金加金合金クラウン)にて補綴する治療計画となりました。
- 費用(概算)
- 16万円(税込)費用は治療当時の料金となります
治療について
PGAクラウンにしたことで咬み心地に全く違和感がなく、気にされていた審美面も、奥歯でありそれほど目立たないこともありますが、白金加金の色を気に入っていただけたので、患者様には大変満足していただけました。
PGA(ゴールド)クラウン、インレーの注意事項(リスク・副作用など)
- インレーおよびクラウンは脱離するリスクがあります
- 形成量はセラミックより少ないですが、歯の形成、修復後に歯に症状が出ることがあります
- 自費診療(保険適用外治療)となります
当サイトの内容、テキスト、画像等の無断転載、複製、複写、盗用を固く禁じます。










