症例詳細
Case detail
【モニター】飛び出した上顎前歯 補助装置を併用したインビザライン矯正治療
治療症例の内容
- 診療科目
- 治療カテゴリ
- 担当医
- 藤巻太一朗(ドクタープロフィール)
- 患者様
- 40代女性
- 矯正装置
- インビザライン
- 治療期間
- 1年11ヶ月
- 治療回数
- 10-30回
- 治療計画
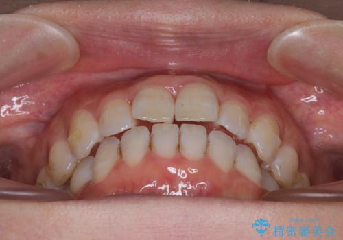
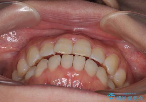
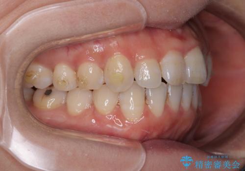
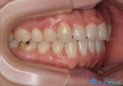
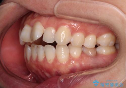
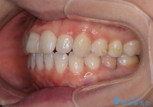
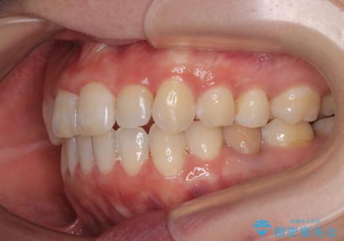
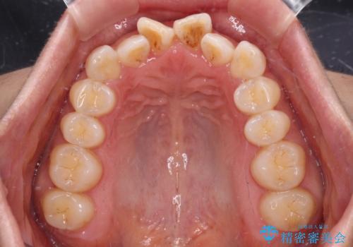
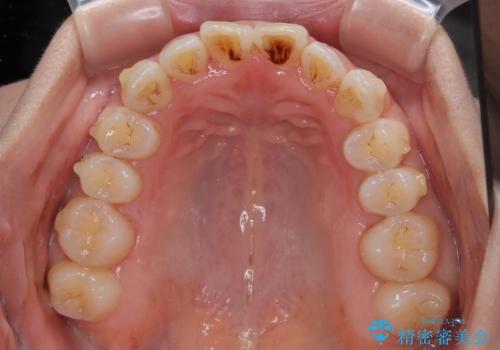
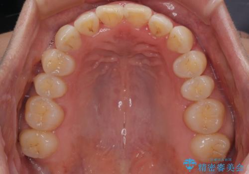
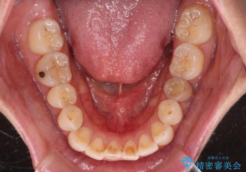
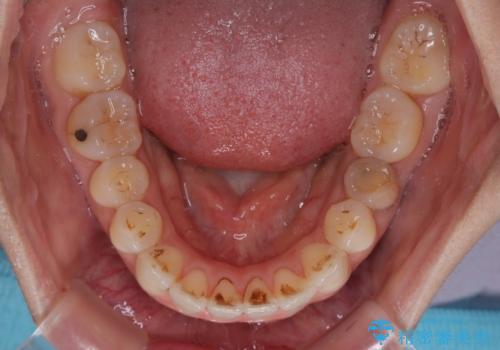
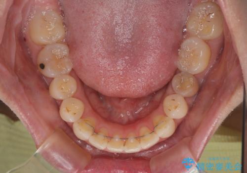
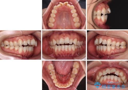
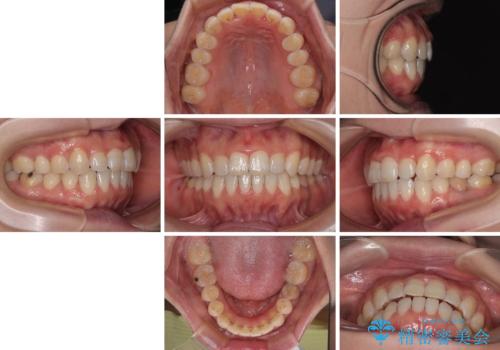
- 上下前歯が非接触となり、前方に突出していることを気にして来院された患者様です。
上下の前後差が大きいため、インビザライン単独での上顎歯列移動は困難と判断し、補助装置により上顎歯列を後方移動させ、その後インビザラインにて仕上げていくこととしました。
また、舌の突出癖が非接触の原因の大きな要因と考えられるため、舌のトレーニングをしっかり行っていくよう指導しました。
- 費用(概算)
- 85万円(税込)費用は治療当時の料金となります
※顔写真掲載にあたり、患者様の了解を得ております
治療について
補助装置なしでも改善できる可能性はありましたが、補助装置で確実性を上げ、短期間できっちりと仕上げることができました。
マウスピース矯正の注意事項(リスク・副作用など)
- 口腔内・歯並びの状態によっては対応できない場合があります
- マウスピース型矯正装置の長時間装着(1日20時間以上)が必須です
- 治療計画通りに進めるためには、患者様の意志が重要になります
- 矯正治療後の保定が不十分だと後戻り(元の位置に戻ろうとする動き)をします
- 薬機法対象外の矯正歯科装置のため医薬品副作用被害救済制度の対象外となる場合があります
- 自費診療(保険適用外)となります
当サイトの内容、テキスト、画像等の無断転載、複製、複写、盗用を固く禁じます。




























