症例詳細
Case detail
前歯の色が気になる オールセラミッククラウンで綺麗で健康な歯に
治療症例の内容
- 診療科目
- 治療カテゴリ
- 担当医
- 榊原康平(ドクタープロフィール)
- 患者様
- 50代女性
- 治療期間
- 1ヶ月
- 治療回数
- 2-5回
- 治療計画
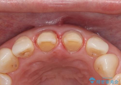
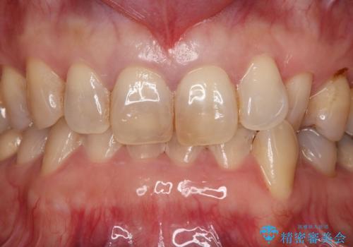
- 前歯の色が年々変わっていき、見た目が気になるので綺麗な歯にしたいと思い当院へ来院されました。
保険ですでに治療がされており、経年劣化が見られ内部にはう蝕もあったため除去し、オールセラミッククラウンにて治療いたしました。
- 費用(概算)
- 308,000円費用は治療当時の料金となります
治療について
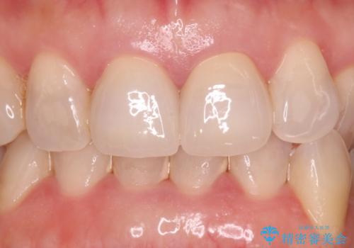
より歯列の色に合った歯が被さり、非常に満足いただけました
セラミック治療の注意事項(リスク・副作用など)
- 天然歯を削ります
- 硬い素材は天然歯を傷つけてしまう場合があります
- かみ合わせや歯ぎしりが強すぎる方はセラミックが割れてしまう可能性があります
- 自費診療(保険適用外治療)となります
当サイトの内容、テキスト、画像等の無断転載、複製、複写、盗用を固く禁じます。










