症例詳細
Case detail
前歯が痛い!|歯の色が気になる!|精密根管治療後、オールセラミッククラウンで審美修復
治療症例の内容
- 診療科目
- 治療カテゴリ
- 担当医
- 河野豊嘉(ドクタープロフィール)
- 患者様
- 20代女性
- 治療期間
- 1ヶ月
- 治療回数
- 2-5回
- 治療計画
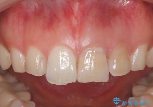
- 主訴:
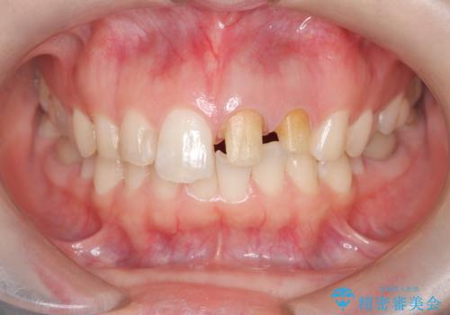
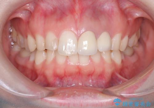
「数日前から前歯に痛みがある」「左上1、2番の色が気になる」
診査・診断:
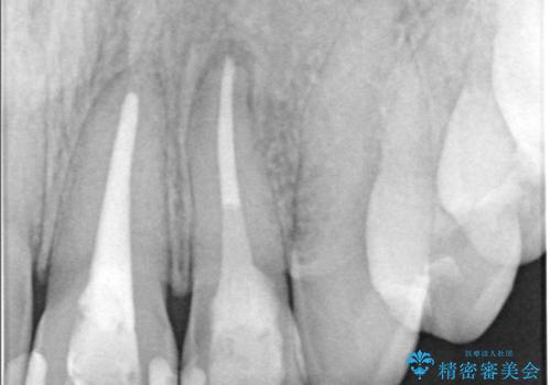
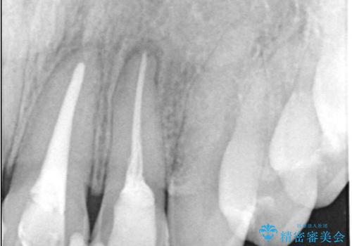
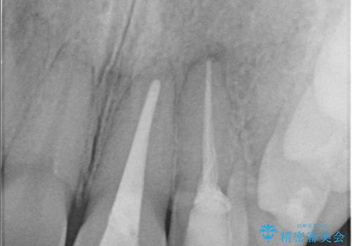
左上1番および2番は失活歯であり、両歯ともに失活に伴う変色を認めました。左上2番に関しては根尖部に透過像を認め、根尖性歯周炎と診断しました。これが前歯部の痛みの原因と考えられました。
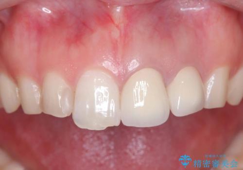
治療内容:
左上2番に対して精密根管治療を実施し、感染源の除去を行いました。その後、左上1、2番ともにオールセラミッククラウンによる補綴を行い、審美的な修復を行いました。
- 費用(概算)
- 税込396,000円(精密根管治療110,000円+ファイバーコア20,000円+仮歯11,000×2本+オールセラミッククラウンスタンダード121,000円×2本)費用は治療当時の料金となります
治療について
治療結果:
痛みは消失し、患者様の審美的な満足度も高く、良好な治療結果が得られました。
根管治療では、ラバーダム、マイクロスコープ、根管をしっかり洗浄するための専用器具の使用が必須となる治療です。
徹底した洗浄により高い治療効果が得られます。
セラミック治療の注意事項(リスク・副作用など)
- 天然歯を削ります
- 硬い素材は天然歯を傷つけてしまう場合があります
- かみ合わせや歯ぎしりが強すぎる方はセラミックが割れてしまう可能性があります
- 自費診療(保険適用外治療)となります
根管治療の注意事項(リスク・副作用など)
- 根管治療により類似の全ての症例の問題が解決するわけではなく、症例はあくまでも一例です
- 根管治療により痛みや腫れがひかない事や、術後に痛みや腫れが生じる事、治療によるファイル破折やパーフォレーションなどの偶発症、術後の歯根破折を生じる可能性もあります
- 自費診療(保険適用外)となります
当サイトの内容、テキスト、画像等の無断転載、複製、複写、盗用を固く禁じます。















