症例詳細
Case detail
歯のデコボコ|口ボコ|八重歯が気になる!|ワイヤー矯正
治療症例の内容
- 診療科目
- 担当医
- 河野豊嘉(ドクタープロフィール)
- 患者様
- 20代女性
- 治療期間
- 2年1ヶ月
- 治療回数
- 10-30回
- 治療計画
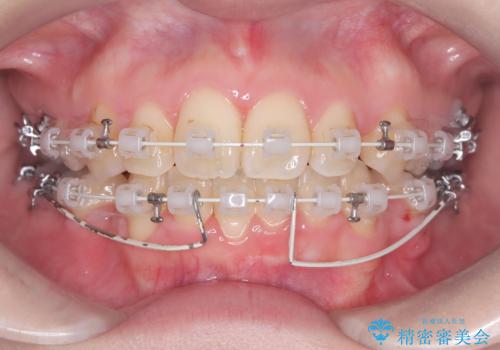
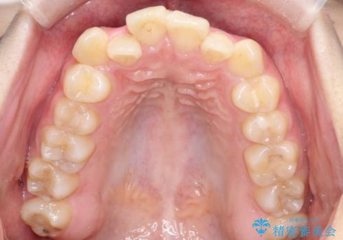
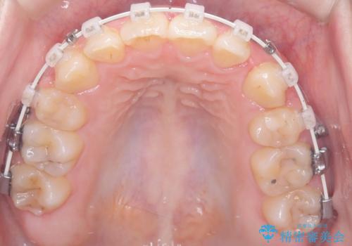
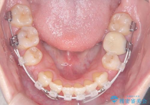
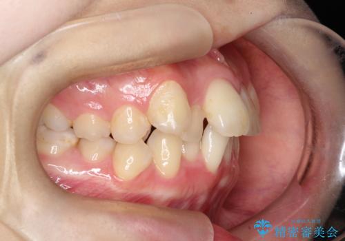
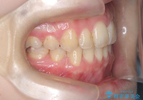
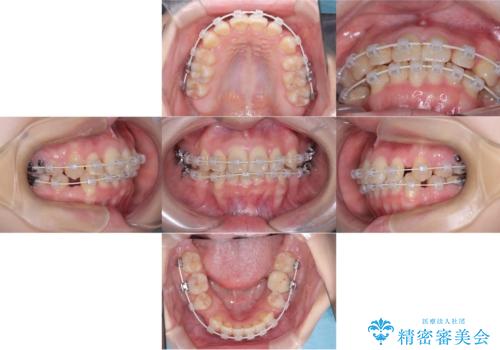
- 「歯のデコボコ、八重歯、口ボコが気になる」を主訴に来院された患者様です。
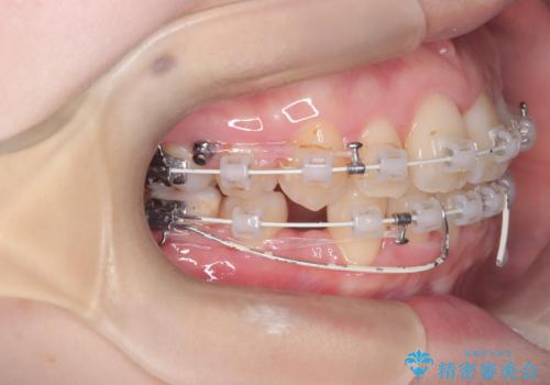
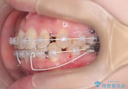
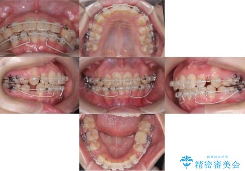
上下左右4番(4本)の歯を抜歯しワイヤー矯正で治療を行いました。
- 費用(概算)
- 税込1,023,000円費用は治療当時の料金となります
治療について
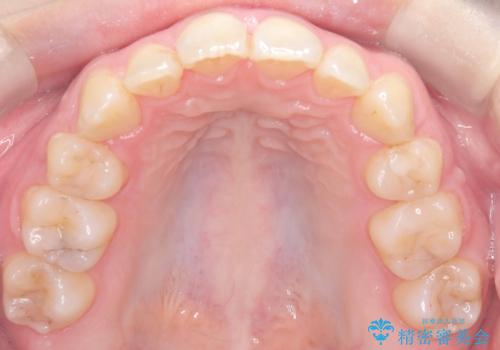
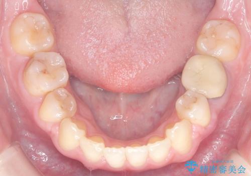
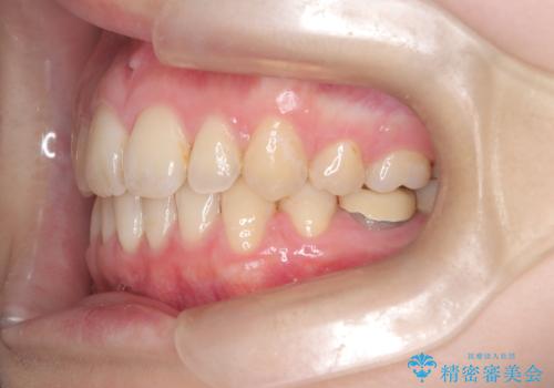
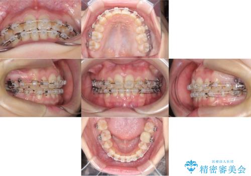
計4本の抜歯を行い、歯のデコボコと口元がすっきりし、大変ご満足していただけました。
ワイヤー矯正の注意事項(リスク・副作用など)
- 治療中は違和感や痛みが起こることがあります
- 症状により、抜歯が必要な場合があります
- 治療中は歯磨きがしにくくなるため、虫歯や歯周病になりやすくなります
- 矯正治療後の保定が不十分だと後戻り(元の位置に戻ろうとする動き)をします
- 自費診療(保険適用外)となります
当サイトの内容、テキスト、画像等の無断転載、複製、複写、盗用を固く禁じます。


























