症例詳細
Case detail
前歯の見た目が気になる!|矮小歯をオールセラミッククラウンで綺麗な形に!|審美回復
治療症例の内容
- 診療科目
- 治療カテゴリ
- 担当医
- 河野豊嘉(ドクタープロフィール)
- 患者様
- 20代女性
- 治療期間
- 1ヶ月
- 治療回数
- 2-5回
- 治療計画
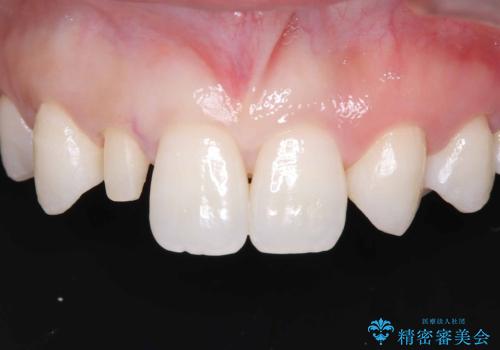
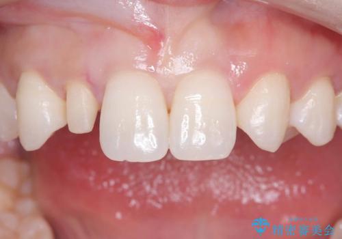
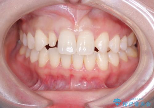
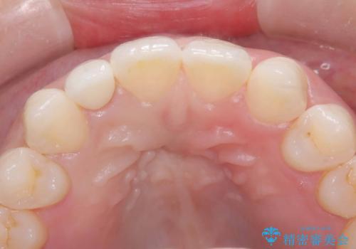
- 「前歯の見た目が気になる」を主訴に来院された患者様です。
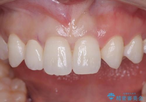
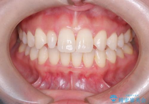
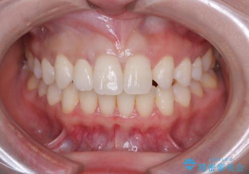
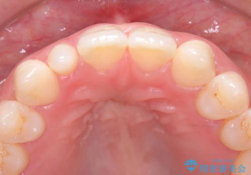
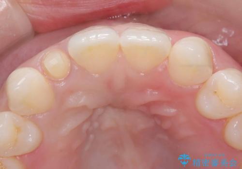
右上2が矮小歯だったので、オールセラミッククラウンで審美修復しました。
- 費用(概算)
- 税込165,000円(オールセラミッククラウンスペシャル154,000円+仮歯11,000円)費用は治療当時の料金となります
治療について
見た目が改善され、大変ご満足いただけました。
セラミック治療の注意事項(リスク・副作用など)
- 天然歯を削ります
- 硬い素材は天然歯を傷つけてしまう場合があります
- かみ合わせや歯ぎしりが強すぎる方はセラミックが割れてしまう可能性があります
- 自費診療(保険適用外治療)となります
当サイトの内容、テキスト、画像等の無断転載、複製、複写、盗用を固く禁じます。














