症例詳細
Case detail
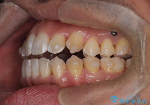
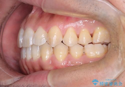
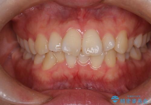
目立たない矯正で八重歯を改善
治療症例の内容
- 診療科目
- 治療カテゴリ
- 担当医
- 河口智英(ドクタープロフィール)
- 患者様
- 30代男性
- 治療期間
- 1年6ヶ月
- 治療回数
- 10-30回
- 治療計画
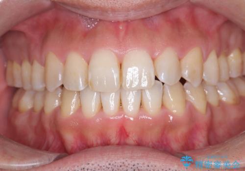
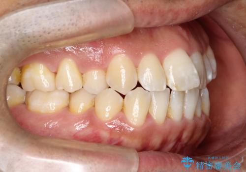
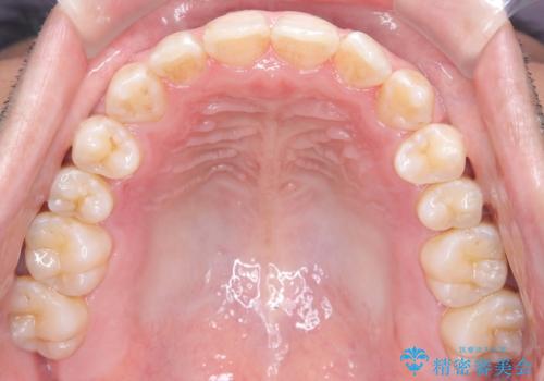
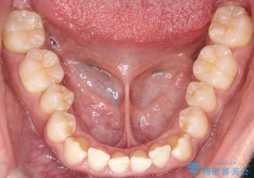
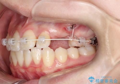
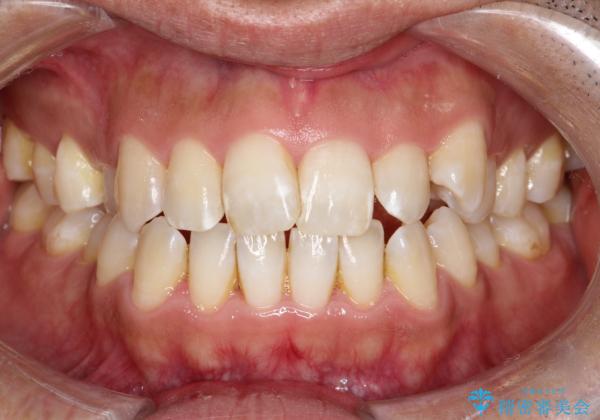
- 左上の八重歯を気にされて来院されました。精密な検査の結果、歯列全体を広げながら八重歯を奥へ移動させることで、美しい歯並びと機能的な咬み合わせが得られると診断。患者様のご希望に合わせ、透明で目立ちにくい**インビザライン(マウスピース矯正)**による治療計画を立案しました。抜歯を避け、歯を少しずつ遠心(奥)へ移動させることで、歯が並ぶスペースを確保し、叢生(歯のデコボコ)を改善します。
- 費用(概算)
- 85万円費用は治療当時の料金となります
治療について
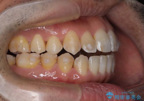
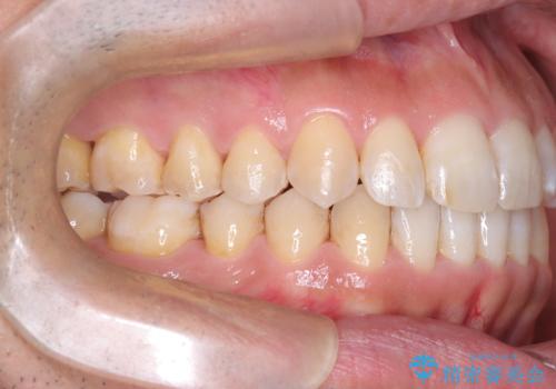
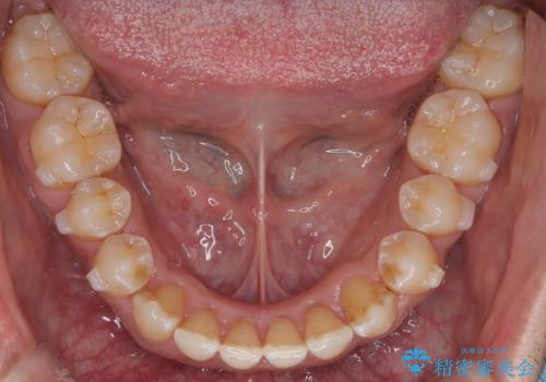
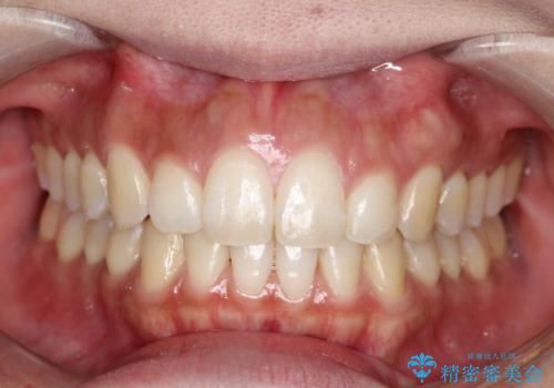
今回の矯正治療では、透明なマウスピース型の装置インビザラインを使用しました。この装置は目立ちにくく、取り外しが可能なため、食事や歯磨きも普段通りに行えます。遠心移動という方法で奥歯を後方に動かし、前歯を並べるためのスペースを確保。これにより、抜歯することなく、左上の八重歯を含む叢生を効果的に改善し、整った美しい歯並びと良好な咬み合わせを獲得していただけました。
マウスピース矯正の注意事項(リスク・副作用など)
- 口腔内・歯並びの状態によっては対応できない場合があります
- マウスピース型矯正装置の長時間装着(1日20時間以上)が必須です
- 治療計画通りに進めるためには、患者様の意志が重要になります
- 矯正治療後の保定が不十分だと後戻り(元の位置に戻ろうとする動き)をします
- 薬機法対象外の矯正歯科装置のため医薬品副作用被害救済制度の対象外となる場合があります
- 自費診療(保険適用外)となります
当サイトの内容、テキスト、画像等の無断転載、複製、複写、盗用を固く禁じます。















