症例詳細
Case detail
目立たない矯正で中等度の叢生を改善
治療症例の内容
- 診療科目
- 治療カテゴリ
- 担当医
- 河口智英(ドクタープロフィール)
- 患者様
- 30代女性
- 治療期間
- 2年
- 治療回数
- 10-30回
- 治療計画
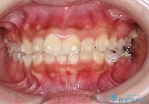
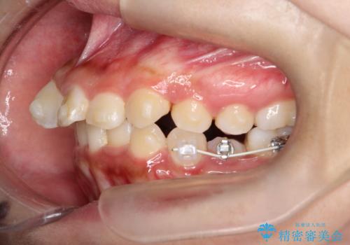
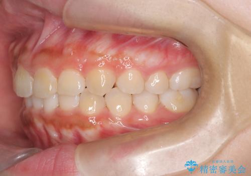
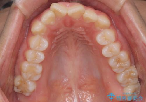
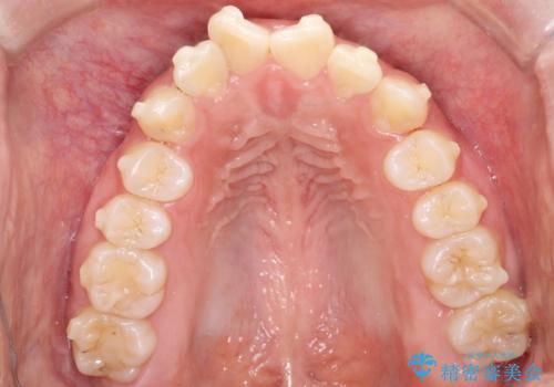
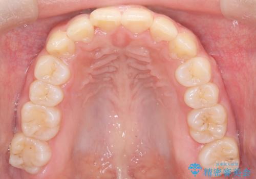
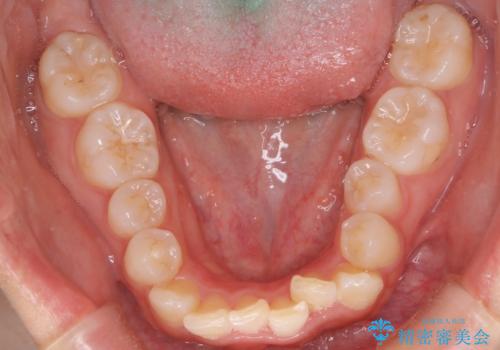
- 歯のデコボコ(叢生)を気にされて来院されました。精密な検査の結果、中等度の叢生と診断。患者様のご希望に合わせ、透明で目立ちにくい**インビザライン(マウスピース矯正)**による治療計画を立案しました。歯を抜かずに、歯列弓(歯が並ぶアーチ)を少しずつ拡大することで、歯が並ぶスペースを確保し、叢生を改善することを目指します。
- 費用(概算)
- 85万円費用は治療当時の料金となります
治療について
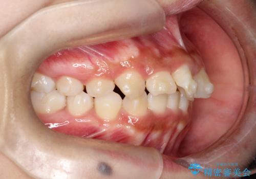
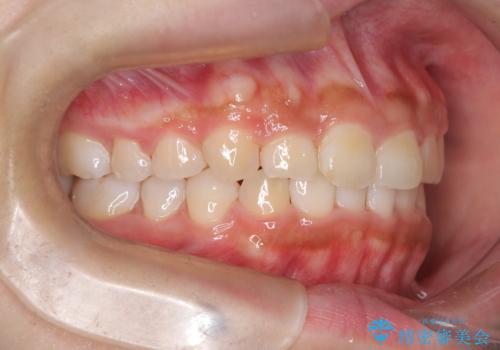
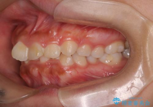
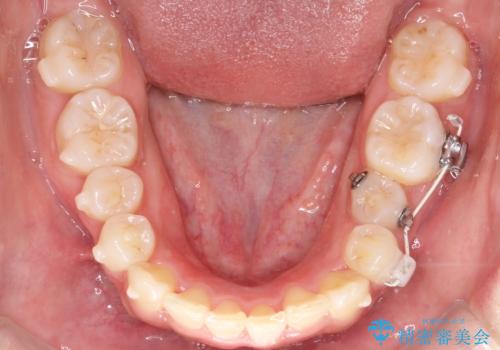
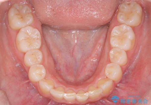
今回の矯正治療では、透明なマウスピース型の装置インビザラインを使用しました。この装置は目立ちにくく、取り外しが可能なため、食事や歯磨きも普段通りに行えます。治療は、緻密に計算された治療計画に基づき、段階的に作製されたマウスピースを交換していくことで、歯列弓全体を徐々に広げていきました。この歯列弓の拡大により、不足していたスペースを確保し、歯のデコボコを効果的に解消。抜歯することなく、整った美しい歯並びと良好な咬み合わせを獲得していただけました。
ワイヤー矯正の注意事項(リスク・副作用など)
- 治療中は違和感や痛みが起こることがあります
- 症状により、抜歯が必要な場合があります
- 治療中は歯磨きがしにくくなるため、虫歯や歯周病になりやすくなります
- 矯正治療後の保定が不十分だと後戻り(元の位置に戻ろうとする動き)をします
- 自費診療(保険適用外)となります
当サイトの内容、テキスト、画像等の無断転載、複製、複写、盗用を固く禁じます。















