症例詳細
Case detail
【セラミッククラウン】知覚過敏をどうにかしてほしい
治療症例の内容
- 診療科目
- 治療カテゴリ
- 担当医
- 町田睦月(ドクタープロフィール)
- 患者様
- 40代女性
- 治療期間
- 治療回数
- 2-5回
- 治療計画
- 主訴:歯茎付近の知覚過敏が強くてどうにかしてほしい
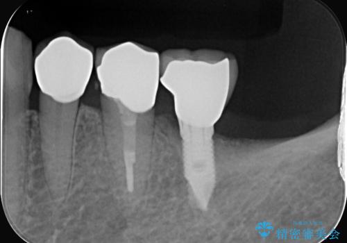
左下4番目の歯の歯頚部に強い知覚過敏症状が出ており、沁み止め材の塗布では症状緩和が望めない状態でしたので、セラミッククラウンで覆う処置としました。
- 費用(概算)
- 132,000円費用は治療当時の料金となります
治療について
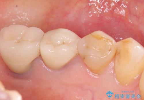
左下4番の歯頚部に知覚過敏症状を認めました。
5級窩洞のコンポジットレジン修復を過去に行ったおり、そのレジンも一部欠けてしまっている状態でした。
咬合力、食いしばりが強く他の歯にも知覚過敏症状が出ているような口腔内で、審美性良く劣化しない丈夫な修復を希望されたため、セラミッククラウンでの治療となりました。
セラミック治療の注意事項(リスク・副作用など)
- 天然歯を削ります
- 硬い素材は天然歯を傷つけてしまう場合があります
- かみ合わせや歯ぎしりが強すぎる方はセラミックが割れてしまう可能性があります
- 自費診療(保険適用外治療)となります
当サイトの内容、テキスト、画像等の無断転載、複製、複写、盗用を固く禁じます。








