症例詳細
Case detail
かぶせ物が外れたまま放置 伸びてしまった歯を修復
治療症例の内容
- 診療科目
- 治療カテゴリ
- 担当医
- 高悠莉(ドクタープロフィール)
- 患者様
- 50代女性
- 治療期間
- 1ヶ月
- 治療回数
- 2-5回
- 治療計画
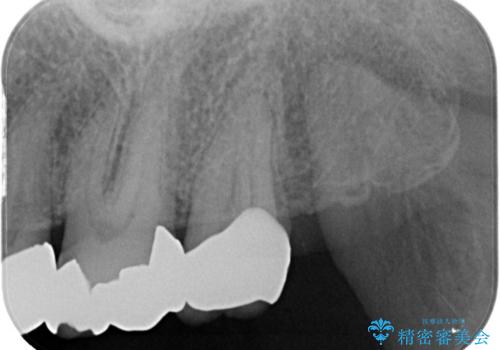
- 歯のかぶせ物が外れてしまったとのことでご来院された患者様です。左上の奥歯のかぶせ物が外れてしまった後、長期間経過したために、歯が動いて下の歯と手前の歯にぶつかってしまっていました。そのため、まずはレントゲンで内部の神経の位置を慎重に把握しながら、仮歯で歯の位置を調整させていただきました。その後、型どりを行い精密なセラミッククラウンにて治療いたしました。術後の経過は良好です。
- 費用(概算)
- 121,000円(税込)費用は治療当時の料金となります
治療について
今回、歯の位置を調整するのに、矯正治療で利用されるセパレーションゴムにて手前の歯との間を離開しています。これを行わないと、内部の神経が露出するリスクがあります。
セラミック治療の注意事項(リスク・副作用など)
- 天然歯を削ります
- 硬い素材は天然歯を傷つけてしまう場合があります
- かみ合わせや歯ぎしりが強すぎる方はセラミックが割れてしまう可能性があります
- 自費診療(保険適用外治療)となります
当サイトの内容、テキスト、画像等の無断転載、複製、複写、盗用を固く禁じます。





