症例詳細
Case detail
【セラミックインレー】歯科検診で虫歯が見つかった
治療症例の内容
- 診療科目
- 治療カテゴリ
- 担当医
- 町田睦月(ドクタープロフィール)
- 患者様
- 20代男性
- 治療期間
- 治療回数
- 2-5回
- 治療計画
- 主訴:歯科検診希望
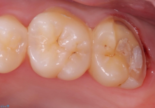
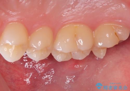
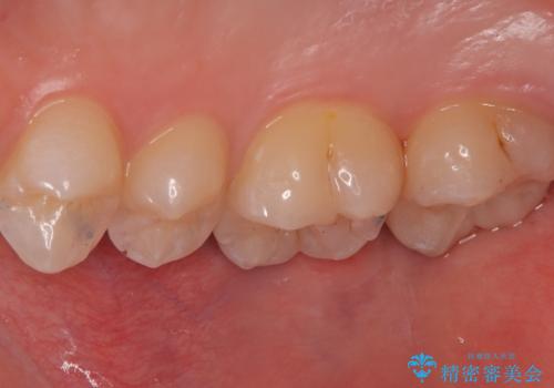
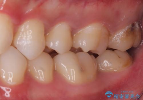
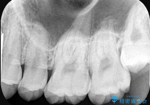
左上一番奥の歯の頬側に実質欠損を伴う虫歯が存在したため、セラミックインレーでの治療となりました。
- 費用(概算)
- 77,000円(税込み)費用は治療当時の料金となります
治療について
上顎左側第二大臼歯頬側面から遠心面、咬合面にもう蝕が波及していたためアンレー形態となりました。
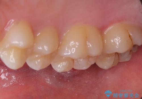
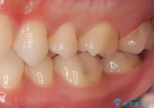
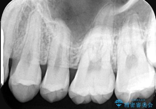
清掃しずらい箇所ではあるため、汚れが付きづらい適合性のよいセラミック素材を選択しました。
セラミックアンレーセット時、ラバーダム防湿を行っています。
セラミック治療の注意事項(リスク・副作用など)
- 天然歯を削ります
- 硬い素材は天然歯を傷つけてしまう場合があります
- かみ合わせや歯ぎしりが強すぎる方はセラミックが割れてしまう可能性があります
- 自費診療(保険適用外治療)となります
当サイトの内容、テキスト、画像等の無断転載、複製、複写、盗用を固く禁じます。










