症例詳細
Case detail
舌で触ると段差が気になる ゴールドインレー修復
治療症例の内容
- 診療科目
- 治療カテゴリ
- 担当医
- 有澤哲郎(ドクタープロフィール)
- 患者様
- 50代男性
- 治療期間
- 1ヶ月
- 治療回数
- 2-5回
- 治療計画
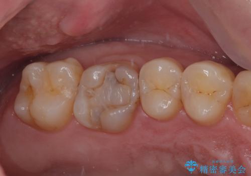
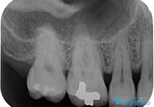
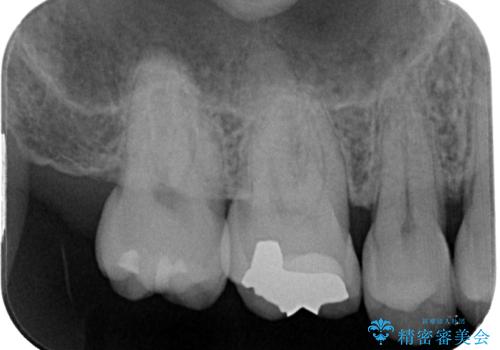
- 舌で触ると段差が気になるとのことで来院された患者様です。歯質がわずかに欠けており金属の詰め物の間に小さなギャップが生じていました。
咬み合わせも強い方なので物性、適合性に優れたゴールドインレーにて治療をしていくことになりました。
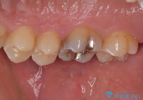
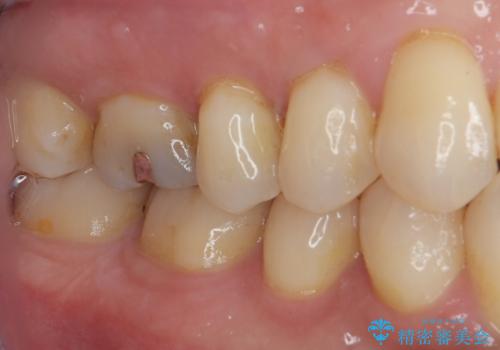
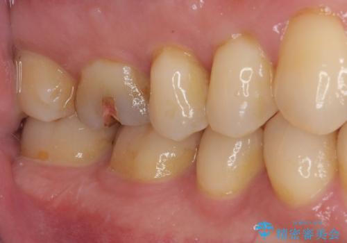
拡大鏡視野下で金属の詰め物、虫歯を除去し、ゴールドインレーに適した形に整えました。
シリコーン印象材にて型どりをしました。
- 費用(概算)
- 10万円(税込み)費用は治療当時の料金となります
ゴールドインレー修復について
ゴールドは柔軟性があり、精密に加工できるため、歯とインレーのすき間が限りなく少ない状態で作成できます。これにより、虫歯の再発リスクを抑えることができます。
PGA(ゴールド)クラウン、インレーの注意事項(リスク・副作用など)
- インレーおよびクラウンは脱離するリスクがあります
- 形成量はセラミックより少ないですが、歯の形成、修復後に歯に症状が出ることがあります
- 自費診療(保険適用外治療)となります
その他の注意事項(リスク・副作用など)
- 担当歯科医師、歯科衛生士又は医院スタッフから受けた説明・注意事項をよくご確認ください
- 医療を提供するに当たり、適切な説明を行い、患者様の十分な理解を得るよう努めております
当サイトの内容、テキスト、画像等の無断転載、複製、複写、盗用を固く禁じます。









