症例詳細
Case detail
補助装置を併用して確実に インビザラインで奥歯の咬み合わせをしっかりと改善
治療症例の内容
- 診療科目
- 治療カテゴリ
- 担当医
- 藤巻太一朗(ドクタープロフィール)
- 患者様
- 30代女性
- 矯正装置
- インビザライン
- 治療期間
- 2年6ヶ月
- 治療回数
- 10-30回
- 治療計画
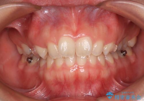
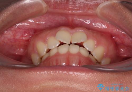
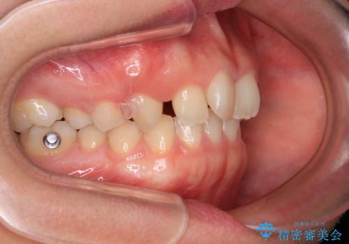
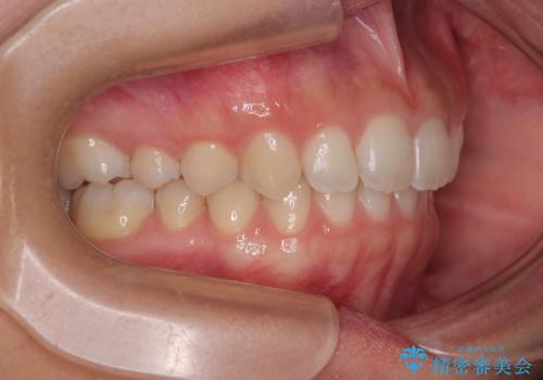
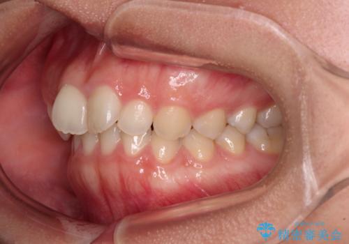
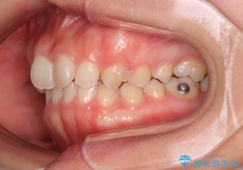
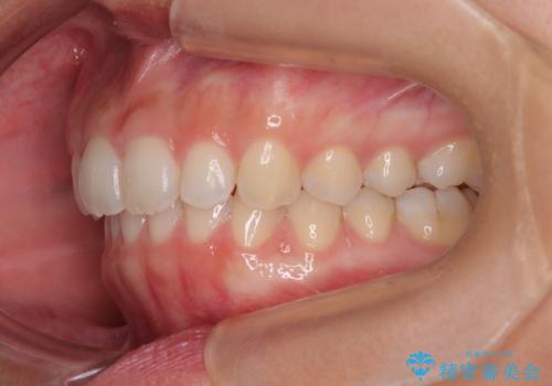
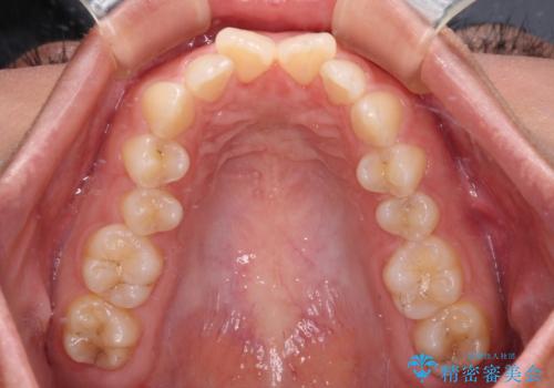
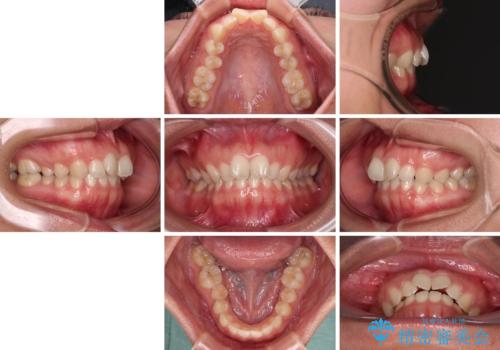
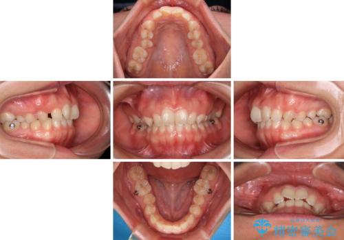
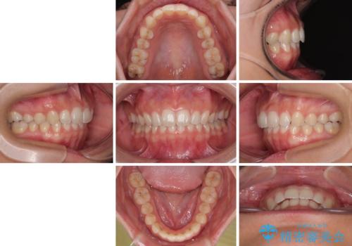
- 上の前歯が前方に飛び出していることを気にして来院された患者様です。
奥歯の咬み合わせをチェックすると、上顎歯列が相対的に前方に位置しているため、補助装置を用いて上顎歯列を確実に後方に移動させ、インビザラインで歯列を整えて行くこととしました。
- 費用(概算)
- 100万円(税込)費用は治療当時の料金となります
治療について
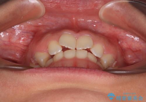
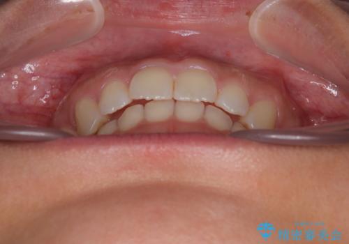
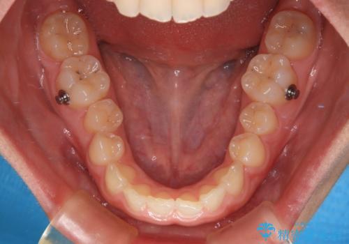
インビザライン単体でも同様の結果が得られる可能性がありますが、万が一奥歯がうまく後方移動できなかった場合、リカバリーが非常に大変となるため、事前に補助装置を併用して確実に結果が得られるように工夫をしています。
マウスピース矯正の注意事項(リスク・副作用など)
- 口腔内・歯並びの状態によっては対応できない場合があります
- マウスピース型矯正装置の長時間装着(1日20時間以上)が必須です
- 治療計画通りに進めるためには、患者様の意志が重要になります
- 矯正治療後の保定が不十分だと後戻り(元の位置に戻ろうとする動き)をします
- 薬機法対象外の矯正歯科装置のため医薬品副作用被害救済制度の対象外となる場合があります
- 自費診療(保険適用外)となります
当サイトの内容、テキスト、画像等の無断転載、複製、複写、盗用を固く禁じます。




























