症例詳細
Case detail
マウスピースが面倒くさい インビザラインでできるところまで頑張った矯正治療
治療症例の内容
- 診療科目
- 治療カテゴリ
- 担当医
- 藤巻太一朗(ドクタープロフィール)
- 患者様
- 20代女性
- 矯正装置
- インビザライン
- 治療期間
- 3年6ヶ月
- 治療回数
- 10-30回
- 治療計画
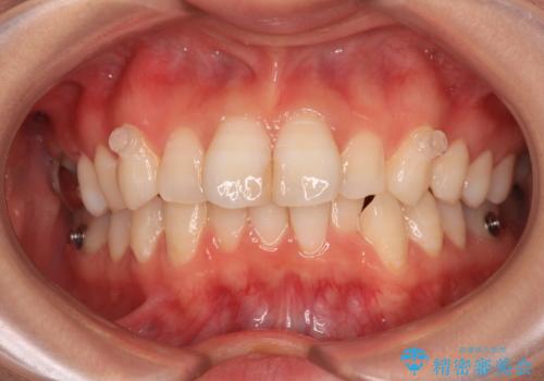
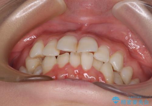
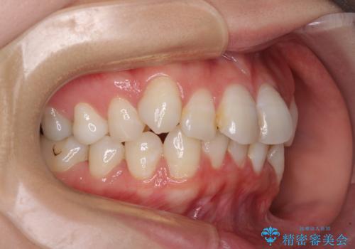
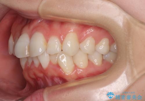
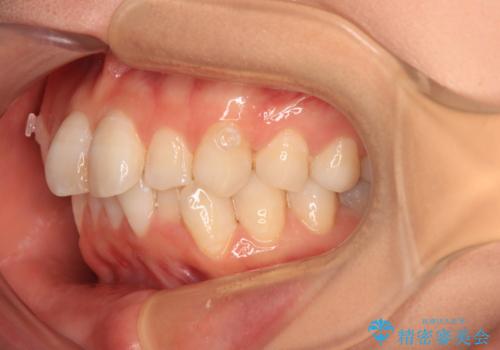
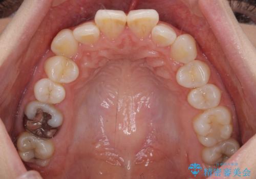
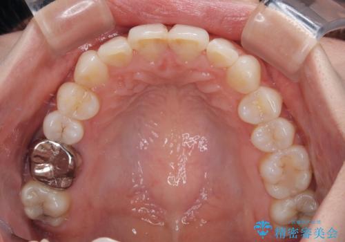
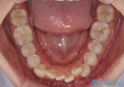
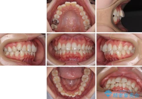
- 上下前歯のデコボコを改善したいとのことで来院された患者様です。
マウスピースを長時間装着し続ける自信はあまりないとのことでしたが、目立たない装置であれば頑張って装着するとのことで、インビザラインによる矯正治療を行うこととしました。
- 費用(概算)
- 90万円(税込)費用は治療当時の料金となります
治療について
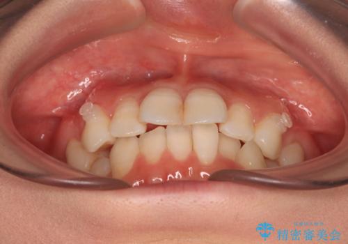
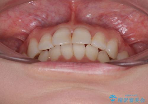
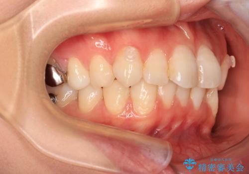
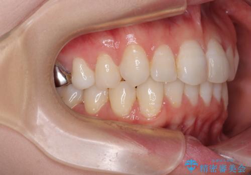
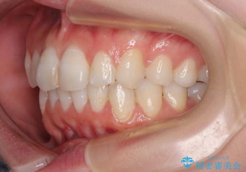
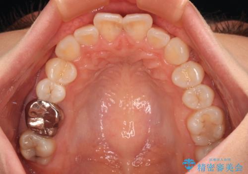
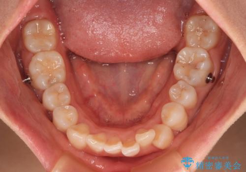
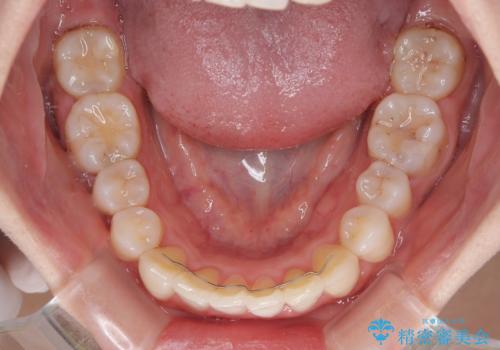
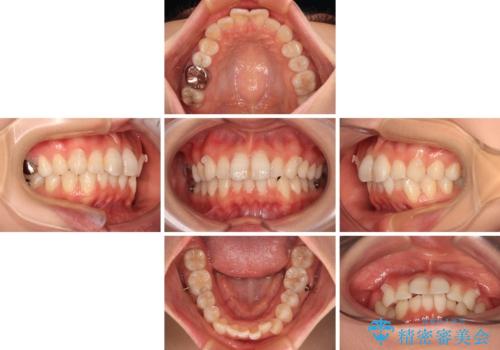
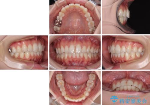
初めの1年くらいは何とか頑張って装着してくださいましたが、途中から変化をあまり感じられなくなり、日々の装着時間は徐々に短くなってしまいました。
前歯のデコボコはもっと改善できましたが、3年半が経過し、初診時と比べたら大幅に良くなったとのことで終了することとなりました。
マウスピース矯正の注意事項(リスク・副作用など)
- 口腔内・歯並びの状態によっては対応できない場合があります
- マウスピース型矯正装置の長時間装着(1日20時間以上)が必須です
- 治療計画通りに進めるためには、患者様の意志が重要になります
- 矯正治療後の保定が不十分だと後戻り(元の位置に戻ろうとする動き)をします
- 薬機法対象外の矯正歯科装置のため医薬品副作用被害救済制度の対象外となる場合があります
- 自費診療(保険適用外)となります
当サイトの内容、テキスト、画像等の無断転載、複製、複写、盗用を固く禁じます。



























