症例詳細
Case detail
銀歯からセラミックへ
治療症例の内容
- 診療科目
- 治療カテゴリ
- 担当医
- 今村大二郎(ドクタープロフィール)
- 患者様
- 60代男性
- 治療期間
- 1ヶ月
- 治療回数
- 2-5回
- 治療計画
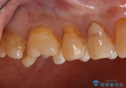
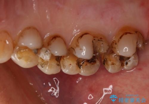
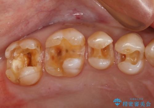
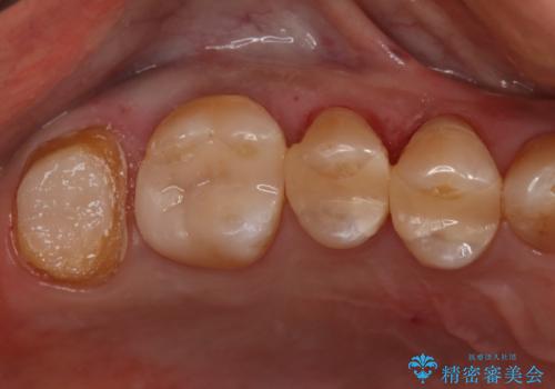
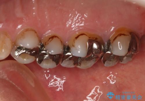
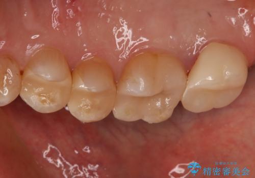
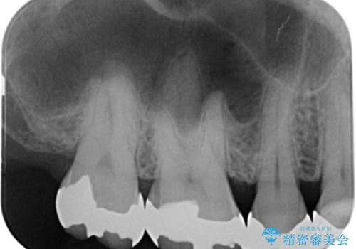
- かなり昔に入れた銀歯の部分のチェックをご希望でご来院されました。
上下ともに銀歯が多く入っており、その下に虫歯が疑われる状態でした。
詰め物の大きさや虫歯の状態から個々に材料と治療範囲を決定し治療に入りました。
- 費用(概算)
- 税込 ¥88,000 - (右上第二大臼歯のセラミッククラウン1本分の費用)費用は治療当時の料金となります
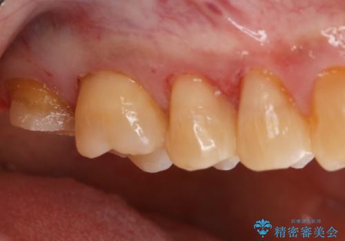
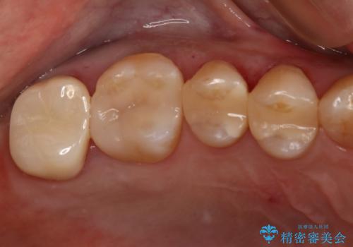
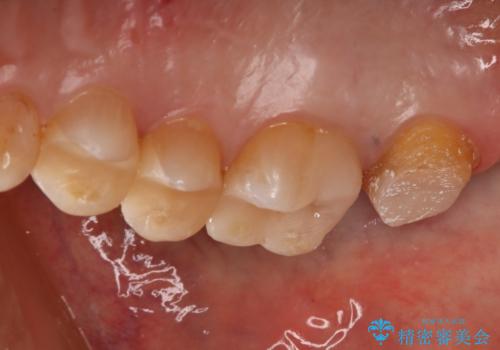
オールセラミッククラウン
金属を一切使わずセラミックのみで構成されており、自然な色調を再現することに長けた被せ物をオールセラミッククラウンといいます。
以前は耐久度(割れにくさ)の点で不安があるといわれていましたが、人工ダイアモンドとも呼ばれる『ジルコニア』の加工技術が向上してきたことにより、より精密で高強度の被せ物が製作されるようになりました。
ジルコニアで補強したベースの上に細かな色調が再現できる陶材を築盛することで周りの歯と調和した色調の被せ物の作製が可能となっています。
セラミック治療の注意事項(リスク・副作用など)
- 天然歯を削ります
- 硬い素材は天然歯を傷つけてしまう場合があります
- かみ合わせや歯ぎしりが強すぎる方はセラミックが割れてしまう可能性があります
- 自費診療(保険適用外治療)となります
当サイトの内容、テキスト、画像等の無断転載、複製、複写、盗用を固く禁じます。

















