症例詳細
Case detail
抜歯をせず前歯の角度を改善するマウスピース矯正治療
治療症例の内容
- 診療科目
- 担当医
- 大元洋佑(ドクタープロフィール)
- 患者様
- 40代女性
- 矯正装置
- インビザライン
- 治療期間
- 6ヶ月
- 治療回数
- 5-10回
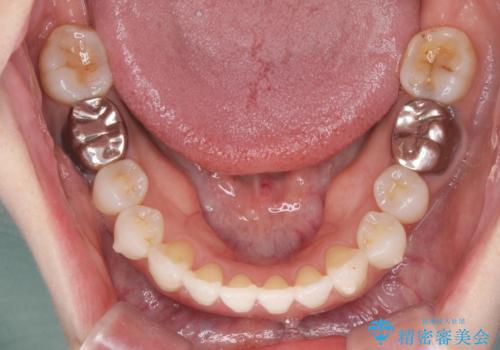
- 治療計画
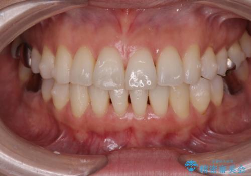
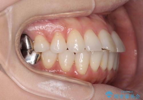
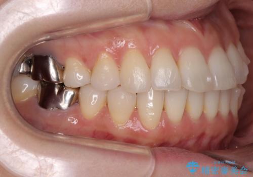
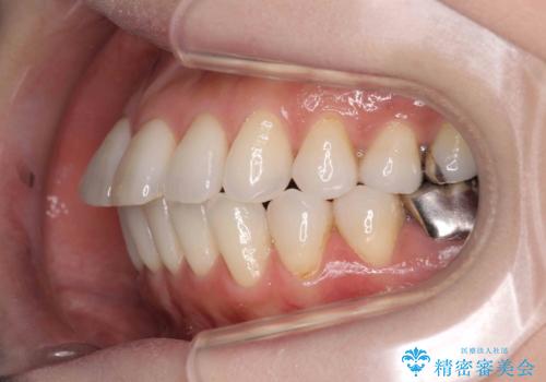
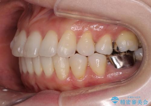
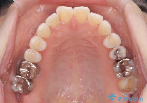
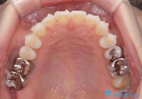
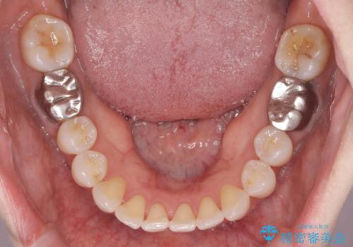
- 突き出た前歯の角度を改善したい、と矯正治療を希望され来院されました。
抜歯を行いワイヤー矯正で2-3年程度の時間をかけて、しっかり前歯を後方に移動させるか、
抜歯を行わずにIPR(歯の間に空隙を設ける)で可及的に角度の改善を行うか、
2通りの治療方針をご提案しました。
治療期間が約半年で行うことができ、歯を抜かずにマウスピース矯正で可及的に前歯の角度を改善する治療方針を
奥歯の状態等も鑑みて選択されました。
- 費用(概算)
- 77万円費用は治療当時の料金となります
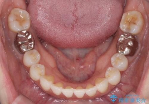
治療について
約半年で大きく前歯の角度を改善することができ、抜歯を行わない矯正治療の結果に大変喜んでいただくことができました。
マウスピース矯正の注意事項(リスク・副作用など)
- 口腔内・歯並びの状態によっては対応できない場合があります
- マウスピース型矯正装置の長時間装着(1日20時間以上)が必須です
- 治療計画通りに進めるためには、患者様の意志が重要になります
- 矯正治療後の保定が不十分だと後戻り(元の位置に戻ろうとする動き)をします
- 薬機法対象外の矯正歯科装置のため医薬品副作用被害救済制度の対象外となる場合があります
- 自費診療(保険適用外)となります
当サイトの内容、テキスト、画像等の無断転載、複製、複写、盗用を固く禁じます。















