症例詳細
Case detail
【セラミッククラウン】歯の根元が欠けた、歯が揺れている気がする
治療症例の内容
- 診療科目
- 治療カテゴリ
- 担当医
- 町田睦月(ドクタープロフィール)
- 患者様
- 20代女性
- 治療期間
- 治療回数
- 2-5回
- 治療計画
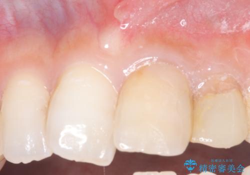
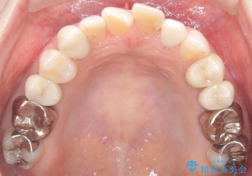
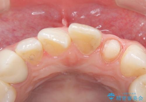
- 主訴:上の前歯の根元部分が欠けた、欠けた歯たまに揺れている気がする。
過去にも同じように欠けて、通っている歯科医院で応急処置してもらったが、また欠けてしまった。
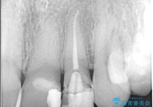
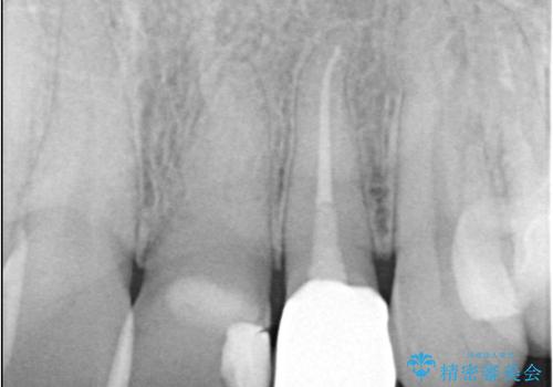
左上2番の唇側歯頚部が欠けており、根管治療を受けている歯でした。
レントゲン写真撮影を行ったところ、歯の中の土台が外れ欠けている状態でしたので土台と被せものの治療を行うこととしました。
- 費用(概算)
- 154,000円費用は治療当時の料金となります
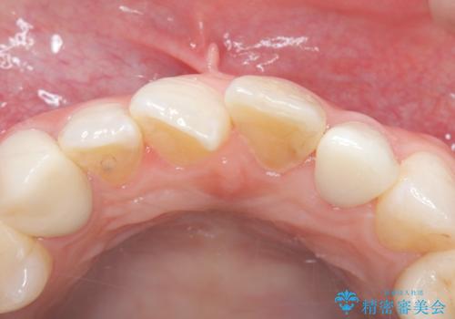
治療について
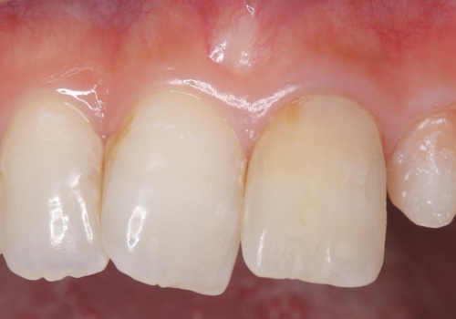
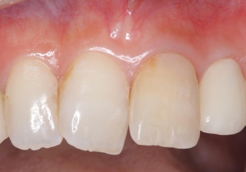
外れ欠けている土台をまずやり替えた後、根管治療後の緊密な封鎖を目的としオールセラミッククラウンをセットしました。
治療費内訳
・仮歯:10,000円(税抜き)
・ファイバ-コア(土台):20,000円(税抜き)
・オールセラミッククラウン(スタンダード):110,000円(税抜き)
セラミック治療の注意事項(リスク・副作用など)
- 天然歯を削ります
- 硬い素材は天然歯を傷つけてしまう場合があります
- かみ合わせや歯ぎしりが強すぎる方はセラミックが割れてしまう可能性があります
- 自費診療(保険適用外治療)となります
当サイトの内容、テキスト、画像等の無断転載、複製、複写、盗用を固く禁じます。












