症例詳細
Case detail
詰め物が欠けた 〈セラミッククラウン〉
治療症例の内容
- 診療科目
- 治療カテゴリ
- 担当医
- 瀧村怜未(ドクタープロフィール)
- 患者様
- 40代女性
- 治療期間
- 1ヶ月
- 治療回数
- 2-5回
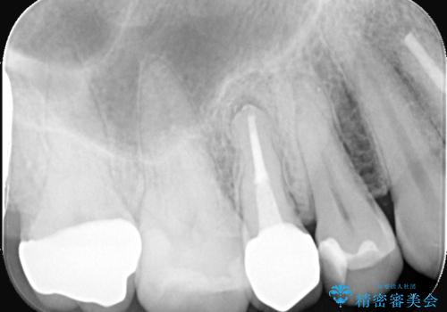
- 治療計画
- 何年も前に入れた詰め物が取れたとのことで来院されました。残っている歯の量と強度のことをお話しし、被せものでの治療となりました。
- 費用(概算)
- 132,000円費用は治療当時の料金となります
治療について
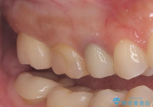
もともとの修復材料とう蝕を除去し、CR裏層の上、オールセラミッククラウンにて修復しました。
セラミック治療の注意事項(リスク・副作用など)
- 天然歯を削ります
- 硬い素材は天然歯を傷つけてしまう場合があります
- かみ合わせや歯ぎしりが強すぎる方はセラミックが割れてしまう可能性があります
- 自費診療(保険適用外治療)となります
当サイトの内容、テキスト、画像等の無断転載、複製、複写、盗用を固く禁じます。







