症例詳細
Case detail
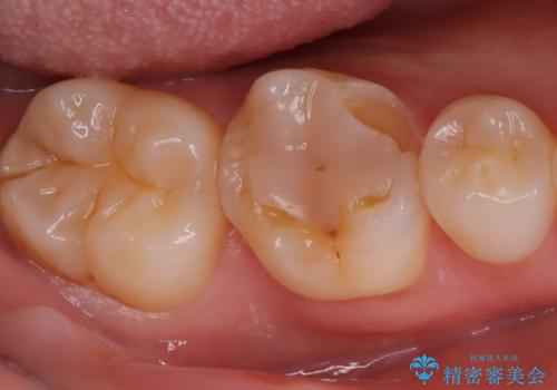
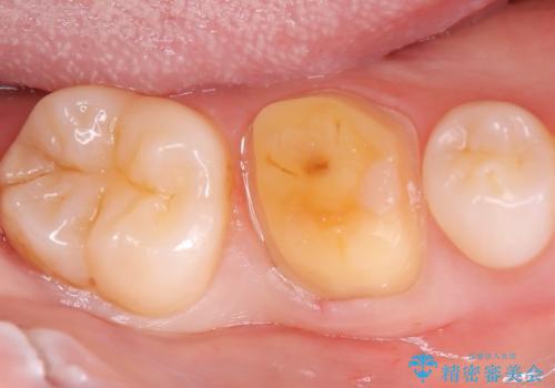
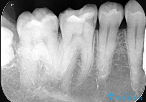
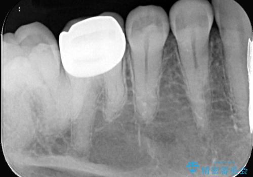
歯が欠けた <セラミッククラウン>
治療症例の内容
- 診療科目
- 治療カテゴリ
- 担当医
- 瀧村怜未(ドクタープロフィール)
- 患者様
- 40代男性
- 治療期間
- 治療回数
- 2-5回
- 治療計画
- 主訴は、歯が欠けてしみるとのことでした。欠けた部分が大きいことから、被せものでの治療をおすすめしました。
- 費用(概算)
- 132000円費用は治療当時の料金となります
治療について
審美性の良いオールセラミッククラウンを選択されました。
セラミック治療の注意事項(リスク・副作用など)
- 天然歯を削ります
- 硬い素材は天然歯を傷つけてしまう場合があります
- かみ合わせや歯ぎしりが強すぎる方はセラミックが割れてしまう可能性があります
- 自費診療(保険適用外治療)となります
当サイトの内容、テキスト、画像等の無断転載、複製、複写、盗用を固く禁じます。





