症例詳細
Case detail
前歯の出っ張りをマウスピースで改善
治療症例の内容
- 診療科目
- 治療カテゴリ
- 担当医
- 河口智英(ドクタープロフィール)
- 患者様
- 30代女性
- 治療期間
- 治療回数
- 5-10回
- 治療計画
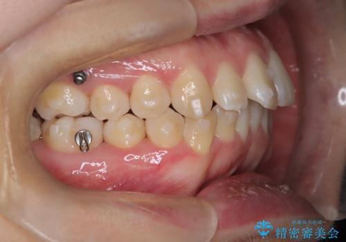
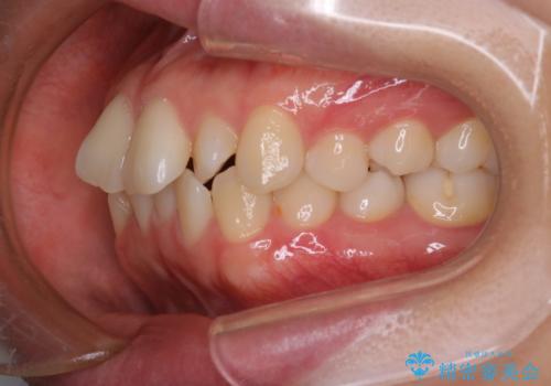
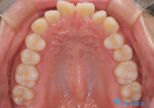
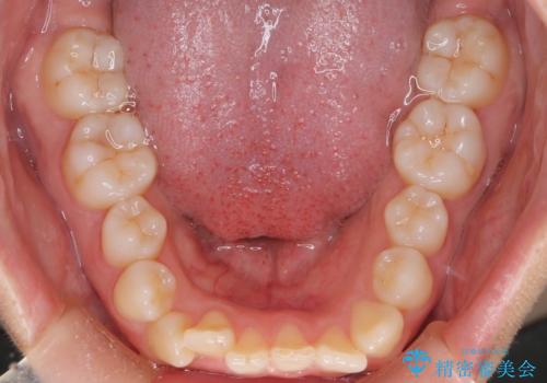
- 「前歯が出ているのが気になる」との主訴で来院されました。診察の結果、上下の前歯が前方に突出し、口元がやや目立つ印象でした。また、歯列の中心線(正中)も上下でずれており、かみ合わせのバランスにも問題がありました。
抜歯をせずに口元の突出感を改善するためには、奥歯を後方に動かして前歯を引くスペースをつくる必要があります。そこで、インビザラインによるマウスピース矯正に加え、TAD(矯正用アンカースクリュー)を併用する治療計画を立てました。TADを固定源とすることで、効率的に奥歯を後方へ動かし、非抜歯でも前歯をしっかり引き下げることが可能になります。
- 費用(概算)
- 80万円費用は治療当時の料金となります
治療について
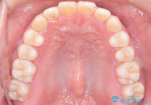
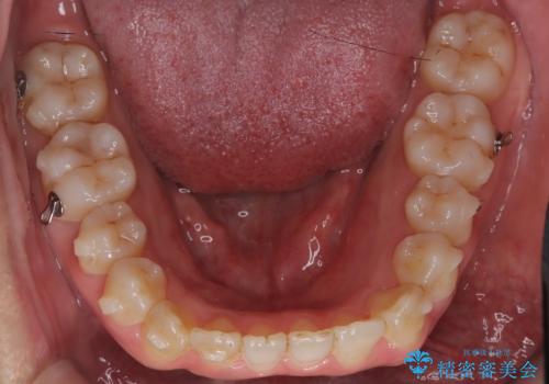
治療はまず精密スキャンとシミュレーションを行い、TADを使用して奥歯を遠心移動(後方へスライド)させる設計を組み込みました。マウスピースは計画に沿って順次交換し、TADと連結しながらコントロールすることで、歯列全体を無理なく整えていきました。
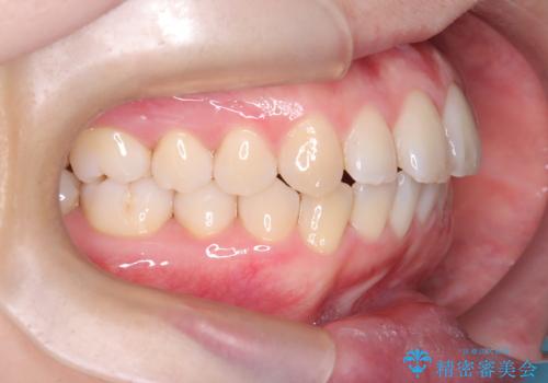
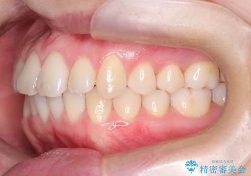
前歯の傾きが改善され、横顔の印象が大きく変化。上下の正中も一致し、かみ合わせのバランス(臼歯関係)も整いました。目立たず快適に治療ができた点にもご満足いただき、「人に気づかれずにここまで変化できるとは思わなかった」とのお声をいただいています。治療後はリテーナーを用いて、仕上がりをしっかり保っています。
インビザラインでも、TADを併用することでより精密な歯の移動が可能になります。
マウスピース矯正の注意事項(リスク・副作用など)
- 口腔内・歯並びの状態によっては対応できない場合があります
- マウスピース型矯正装置の長時間装着(1日20時間以上)が必須です
- 治療計画通りに進めるためには、患者様の意志が重要になります
- 矯正治療後の保定が不十分だと後戻り(元の位置に戻ろうとする動き)をします
- 薬機法対象外の矯正歯科装置のため医薬品副作用被害救済制度の対象外となる場合があります
- 自費診療(保険適用外)となります
当サイトの内容、テキスト、画像等の無断転載、複製、複写、盗用を固く禁じます。















