症例詳細
Case detail
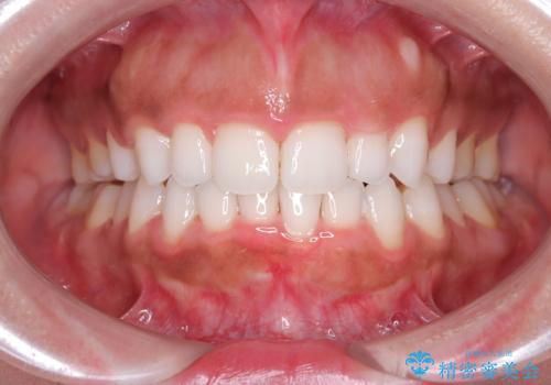
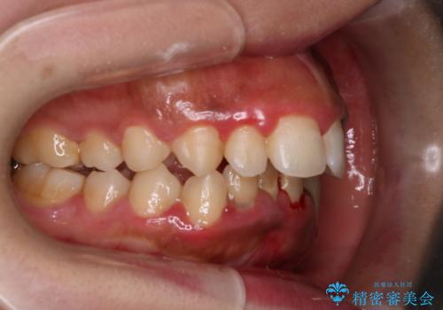
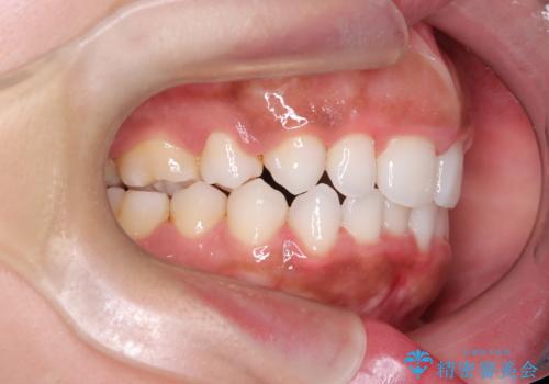
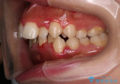
前歯の出っ張りとガタつきを改善
治療症例の内容
- 診療科目
- 治療カテゴリ
- 担当医
- 河口智英(ドクタープロフィール)
- 患者様
- 20代女性
- 治療期間
- 治療回数
- 5-10回
- 治療計画
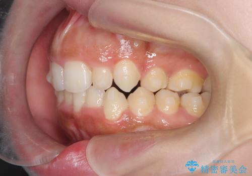
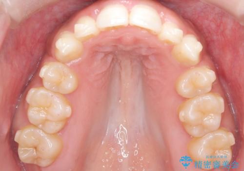
- 「前歯が出ていて並びも悪いのが気になる」との主訴で来院されました。診察の結果、上顎前歯の前突と中等度の叢生(ガタつき)が認められ、歯がきれいに並ぶスペースが不足していました。横顔のバランスと歯並びの両方を整えるため、上顎の左右の第一小臼歯2本を抜歯し、前歯を内側に下げながら歯列全体を整える治療計画を立てました。
患者さんのご希望もあり、取り外しが可能で目立ちにくいインビザライン(マウスピース矯正)を選択。抜歯スペースを活用しながら、叢生と前突感の改善を同時に目指しました。
- 費用(概算)
- 80万円費用は治療当時の料金となります
治療について
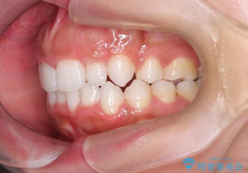
治療はインビザラインによって進め、抜歯スペースを使って前歯を内側に引き込みながら、歯のガタつきも順に整えていきました。初期の段階で前歯の見た目が大きく変わり、患者さんにも「印象が柔らかくなった」と非常に喜んでいただけました。
しかし、途中で来院が途絶えてしまい、インビザラインのアカウント(治療管理期間)が終了。再発注やリカバリーが難しくなったため、治療再開のためにワイヤー矯正の提案を行いましたが、患者さんのご希望により再治療は見送られることとなりました。
インビザラインは高い効果が期待できる一方、継続的な来院と装着が不可欠な治療法です。継続していればさらに良い結果が得られたと考えられるケースでした。
マウスピース矯正の注意事項(リスク・副作用など)
- 口腔内・歯並びの状態によっては対応できない場合があります
- マウスピース型矯正装置の長時間装着(1日20時間以上)が必須です
- 治療計画通りに進めるためには、患者様の意志が重要になります
- 矯正治療後の保定が不十分だと後戻り(元の位置に戻ろうとする動き)をします
- 薬機法対象外の矯正歯科装置のため医薬品副作用被害救済制度の対象外となる場合があります
- 自費診療(保険適用外)となります
当サイトの内容、テキスト、画像等の無断転載、複製、複写、盗用を固く禁じます。















