症例詳細
Case detail
マウスピースで歯並びと正中を改善
治療症例の内容
- 診療科目
- 治療カテゴリ
- 担当医
- 河口智英(ドクタープロフィール)
- 患者様
- 30代女性
- 矯正装置
- インビザライン
- 治療期間
- 1年6ヶ月
- 治療回数
- 10-30回
- 治療計画
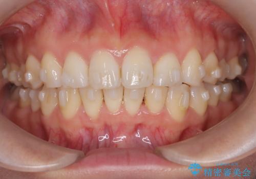
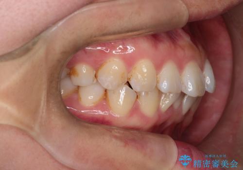
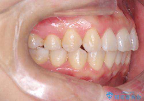
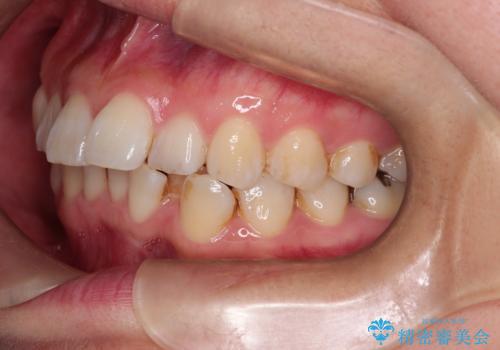
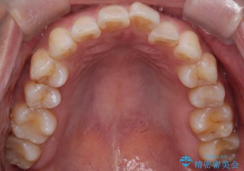
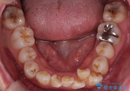
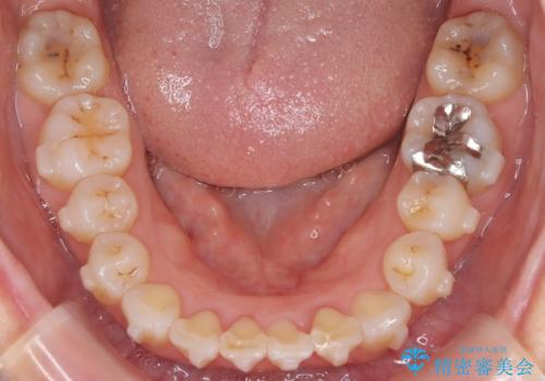
- 「歯のガタつきが気になる」「前歯の真ん中がずれている」との主訴で来院されました。診察の結果、上下の歯列に中等度の叢生(凸凹)があり、特に前歯の位置のずれ(正中の偏位)が目立つ状態でした。見た目だけでなく、かみ合わせにも影響を与える可能性があるため、全体的なバランスの改善が必要と診断しました。
目立たない装置をご希望されたため、取り外しができる透明なマウスピース型矯正装置「インビザライン」を用いた治療を選択。歯列全体をデジタルでシミュレーションし、叢生の改善と正中の位置を一致させることを目標とした治療計画を立てました。
- 費用(概算)
- 85万円費用は治療当時の料金となります
治療について
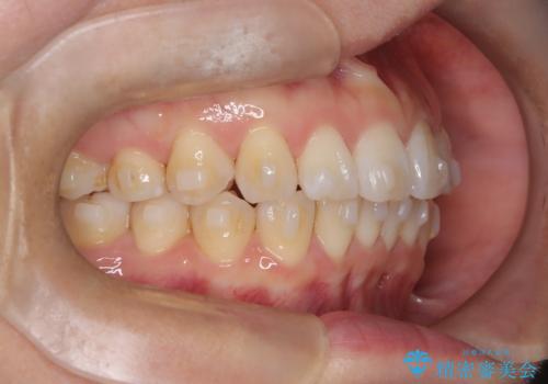
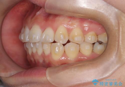
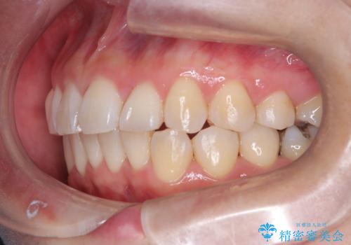
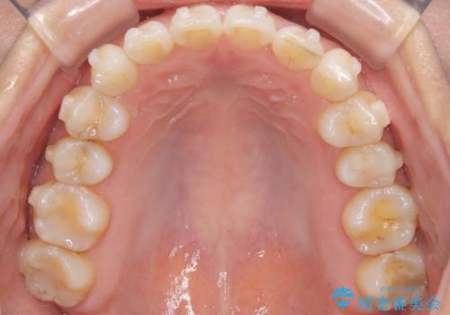
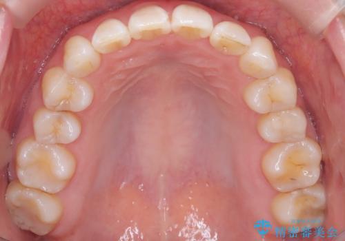
治療はインビザラインを使用し、1~2週間ごとに新しいマウスピースに交換しながら段階的に歯を移動させていきました。特に上下の正中が揃うよう、奥歯や前歯の位置関係に注意を払いながら細かく設計を調整。途中の確認でも、左右のバランスが取れてきたことをご本人も実感されていました。
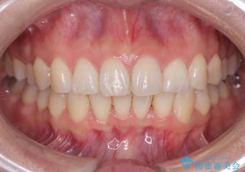
治療期間は約1年半で、ガタついていた歯列はきれいに整い、上下の前歯の真ん中もぴったりと揃えることができました。透明なマウスピースのため周囲に気づかれず治療が進み、快適に続けられたとの感想もいただいています。
現在はリテーナーで仕上がりを維持しながら、定期的に経過を見ています。
マウスピース矯正の注意事項(リスク・副作用など)
- 口腔内・歯並びの状態によっては対応できない場合があります
- マウスピース型矯正装置の長時間装着(1日20時間以上)が必須です
- 治療計画通りに進めるためには、患者様の意志が重要になります
- 矯正治療後の保定が不十分だと後戻り(元の位置に戻ろうとする動き)をします
- 薬機法対象外の矯正歯科装置のため医薬品副作用被害救済制度の対象外となる場合があります
- 自費診療(保険適用外)となります
当サイトの内容、テキスト、画像等の無断転載、複製、複写、盗用を固く禁じます。















