症例詳細
Case detail
前歯の色が気になる!|オールセラミッククラウン
治療症例の内容
- 診療科目
- 治療カテゴリ
- 担当医
- 河野豊嘉(ドクタープロフィール)
- 患者様
- 20代女性
- 治療期間
- 1ヶ月
- 治療回数
- 2-5回
- 治療計画
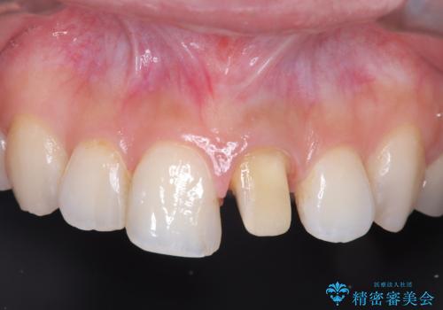
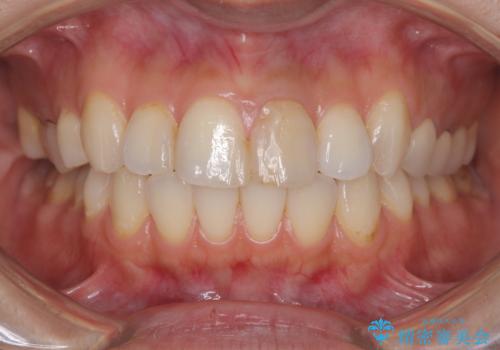
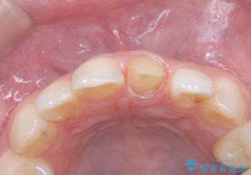
- 「前歯の色が気になる」を主訴に来院された患者様です。
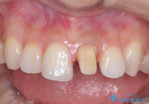
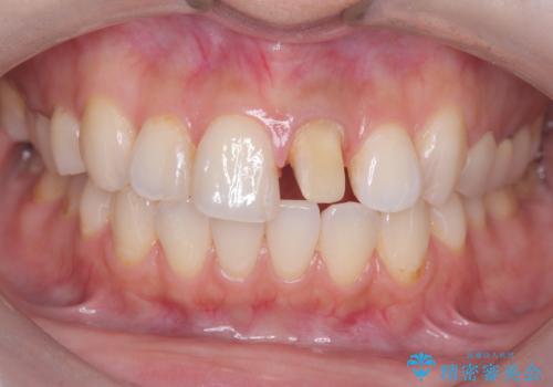
前歯にプラスチックの材料が入っており、形と色が悪くなっていました。
失活歯だったため全体的に歯の色が暗くなっていました。
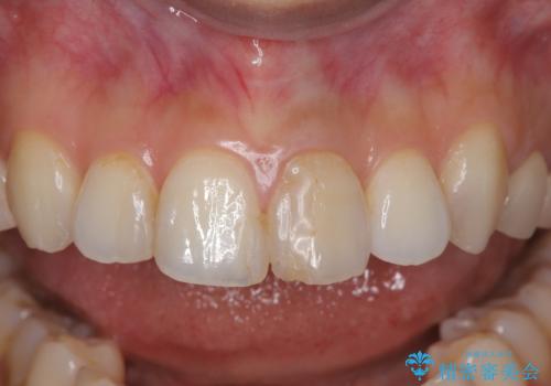
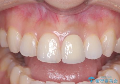
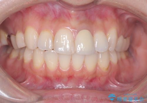
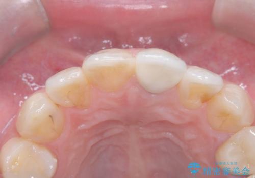
オールセラミッククラウンで治療を行い見た目の改善を行いました。
- 費用(概算)
- 15万4千円(オールセラミッククランスペシャル14万3千円+仮歯1万1千円)費用は治療当時の料金となります
治療について
右上1もCRが入っており治療を勧めましたが、希望されず左上1のみ行いました。
色味は左上2に合わせたいとのご希望だったので、左上2に合わせています。
セラミック治療の注意事項(リスク・副作用など)
- 天然歯を削ります
- 硬い素材は天然歯を傷つけてしまう場合があります
- かみ合わせや歯ぎしりが強すぎる方はセラミックが割れてしまう可能性があります
- 自費診療(保険適用外治療)となります
当サイトの内容、テキスト、画像等の無断転載、複製、複写、盗用を固く禁じます。














