症例詳細
Case detail
【抜歯】ハーフリンガル矯正で韓国美人な横顔へ!
治療症例の内容
- 患者様
- 20代 女性
- 矯正装置
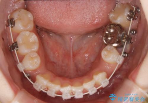
- ワイヤー(片顎舌側装置)
- 治療期間
- 3年6ヶ月
- 治療回数
- 30回以上
- 治療計画
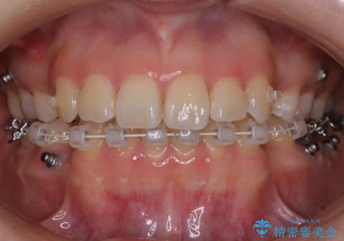
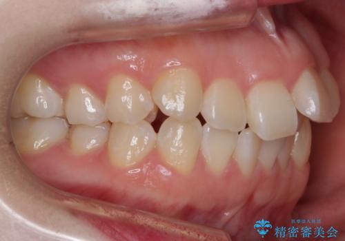
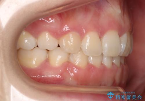
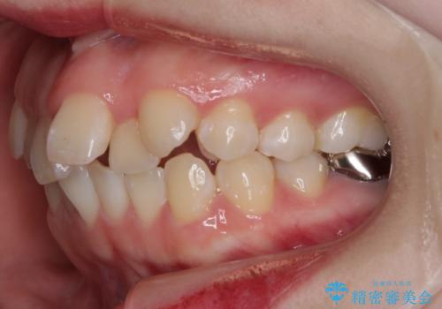
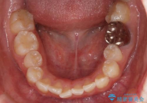
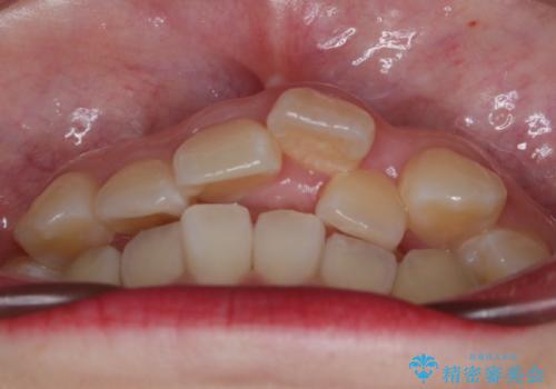
- 前歯のガタつきと口元の改善を主訴に来院されました。
なるべく目立たない装置が良いというご要望と、口元を引っ込めたいというご要望を両方達成するために今回はハーフリンガル装置を選択し治療計画の立案を行いました。
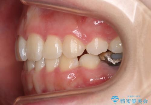
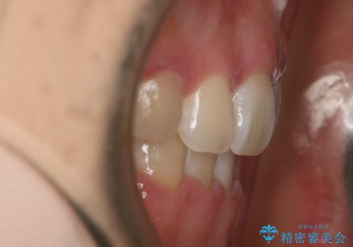
結果的に表の装置よりは期間が掛かりましたが、口元もしっかり下がり韓国美人な横顔になったと患者様にも喜んでいただけました。
- 費用(概算)
- 税込¥1430,000- (ハーフリンガル装置代 + マイクロインプラント代)費用は治療当時の料金となります
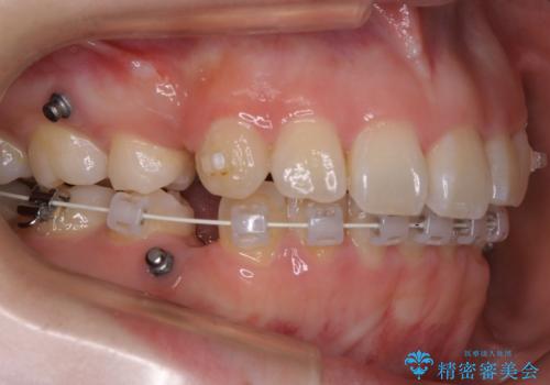
ハーフリンガル装置
ワイヤー矯正の中でも、上顎を裏側・下顎を表側に装置をつけて動かす方法をハーフリンガルといいます。
ハーフリンガルを選択すると、ワイヤー矯正の利点である抜歯ケースへの対応が可能な点と、表側の装置の欠点である装置が目立つという点をカバーして矯正治療を進めることができます。
表側の装置と違い、使えるワイヤーの種類に制限があり平均治療期間が長くなりやすい点、装置の作製自体の金額が掛かることから費用面で表側装置よりも高額になるという点はマイナスポイントであるといえますが、しっかりと口元を下げたり、噛み合わせの構築を行うことは遜色なく行えるため人気のある装置となっております。
また、裏側に装置が付くことによって喋り辛さを感じる方もいらっしゃいます。
ワイヤー矯正の注意事項(リスク・副作用など)
- 治療中は違和感や痛みが起こることがあります
- 症状により、抜歯が必要な場合があります
- 治療中は歯磨きがしにくくなるため、虫歯や歯周病になりやすくなります
- 矯正治療後の保定が不十分だと後戻り(元の位置に戻ろうとする動き)をします
- 自費診療(保険適用外)となります
当サイトの内容、テキスト、画像等の無断転載、複製、複写、盗用を固く禁じます。





















