症例詳細
Case detail
前歯を後ろに下げたい ワイヤー矯正(クリア装置)
治療症例の内容
- 担当医
- 小澤俊哉(ドクタープロフィール)
- 患者様
- 30代女性
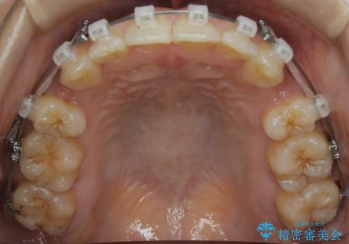
- 矯正装置
- クリア装置
- 治療期間
- 2年
- 治療回数
- 10-30回
- 治療計画
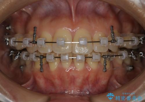
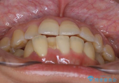
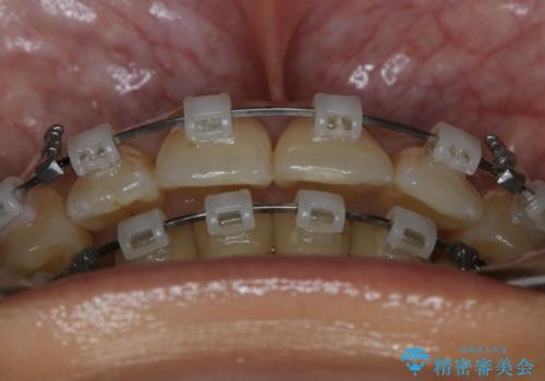
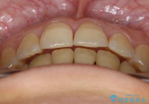
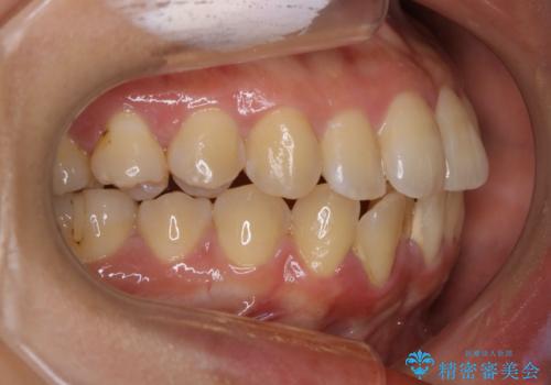
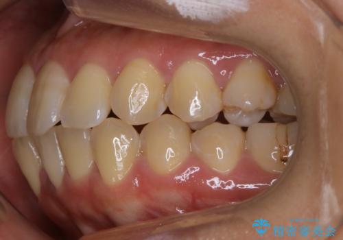
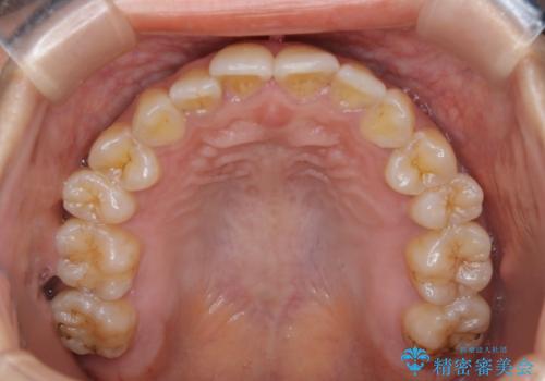
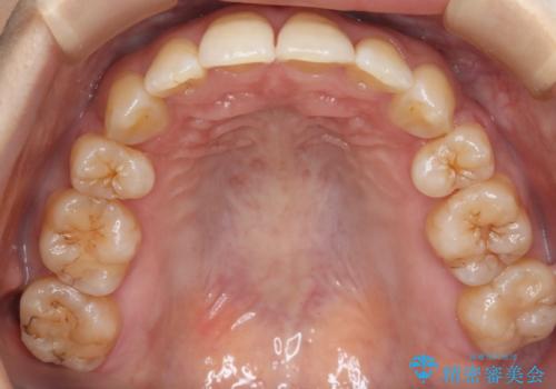
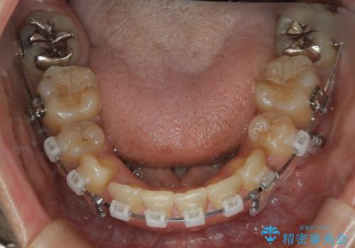
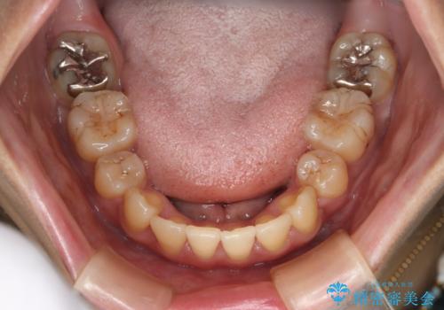
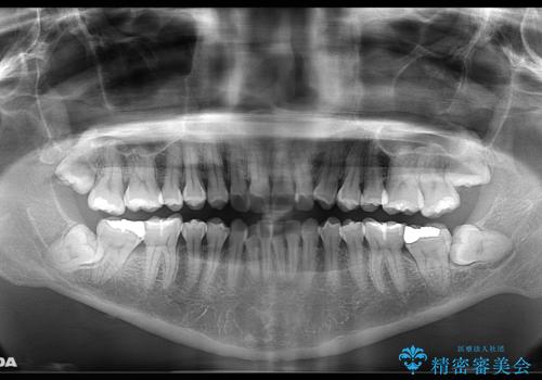
- 前歯を後ろへ下げることを主訴に来院された患者様です。
10代の時に非抜歯でワイヤー矯正をしていました。
口元の突出感の改善や歯の移動量などを考慮し、抜歯を伴うワイヤー矯正での治療を選択しました。
- 費用(概算)
- 107万円費用は治療当時の料金となります
治療について
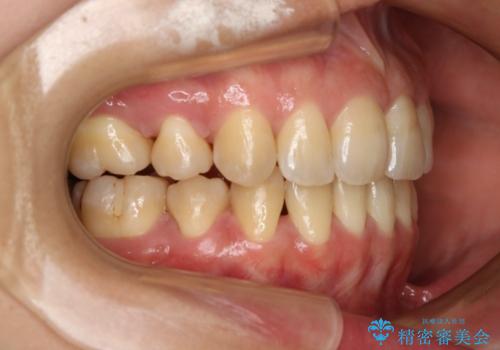
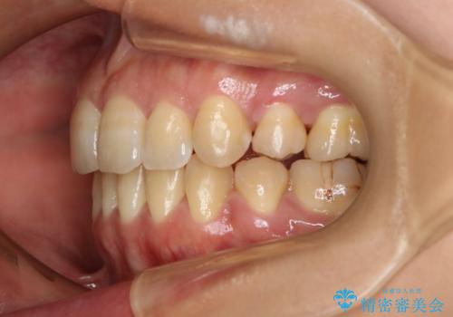
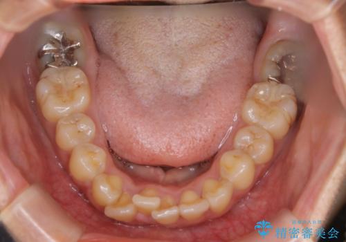
抜歯を行うことで前歯を後ろへ下げるスペースを獲得し、口元の突出感や歯のガタつきを改善していきました。
ワイヤー矯正の注意事項(リスク・副作用など)
- 治療中は違和感や痛みが起こることがあります
- 症状により、抜歯が必要な場合があります
- 治療中は歯磨きがしにくくなるため、虫歯や歯周病になりやすくなります
- 矯正治療後の保定が不十分だと後戻り(元の位置に戻ろうとする動き)をします
- 自費診療(保険適用外)となります
当サイトの内容、テキスト、画像等の無断転載、複製、複写、盗用を固く禁じます。


























