症例詳細
Case detail
ツギハギの被せ物をキレイなセラミックへ
治療症例の内容
- 診療科目
- 治療カテゴリ
- 担当医
- 今村大二郎(ドクタープロフィール)
- 患者様
- 70代 女性
- 治療期間
- 1ヶ月
- 治療回数
- 2-5回
- 治療計画
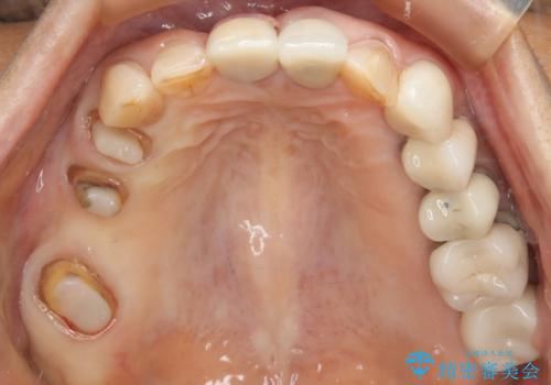
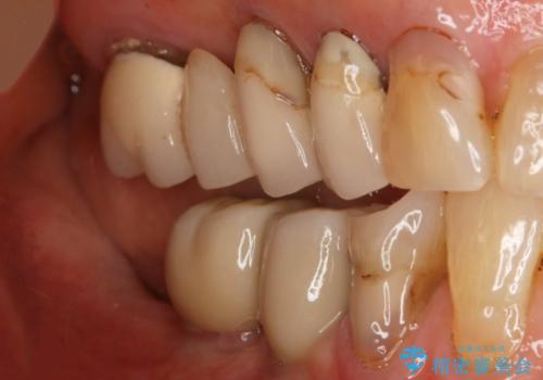
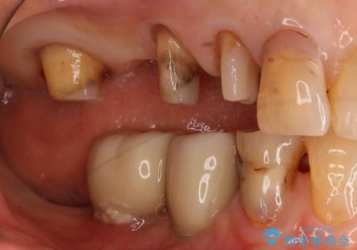
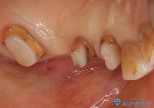
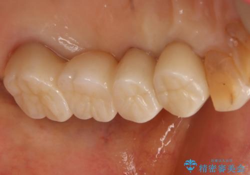
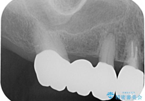
- 数十年前、アメリカで行った治療部位のやり直しを希望されてご来院。
ツギハギの修復が行われてきた被せ物は、縁が合っておらず隙間があり見た目も悪くなってしまっていました。
古い被せ物を除去し、中の状態をキレイにしたうえで改めて金属を使用していない被せ物で噛み合わせの回復を行いました。
被せ物の色は噛み合う反対側の被せ物と合わせて作りました。
- 費用(概算)
- 税込¥352,000 -費用は治療当時の料金となります
オールセラミッククラウン
金属を一切使わずセラミックのみで構成されており、自然な色調を再現することに長けた被せ物をオールセラミッククラウンといいます。
以前は耐久度(割れにくさ)の点で不安があるといわれていましたが、人工ダイアモンドとも呼ばれる『ジルコニア』の加工技術が向上してきたことにより、より精密で高強度の被せ物が製作されるようになりました。
ジルコニアで補強したベースの上に細かな色調が再現できる陶材を築盛することで周りの歯と調和した色調の被せ物の作製が可能となっています。
セラミック治療の注意事項(リスク・副作用など)
- 天然歯を削ります
- 硬い素材は天然歯を傷つけてしまう場合があります
- かみ合わせや歯ぎしりが強すぎる方はセラミックが割れてしまう可能性があります
- 自費診療(保険適用外治療)となります
当サイトの内容、テキスト、画像等の無断転載、複製、複写、盗用を固く禁じます。















