症例詳細
Case detail
セラミックインレーとクラウンで歯ぐきの腫れを治す
治療症例の内容
- 診療科目
- 担当医
- 榊原康平(ドクタープロフィール)
- 患者様
- 30代男性
- 治療期間
- 1ヶ月
- 治療回数
- 2-5回
- 治療計画
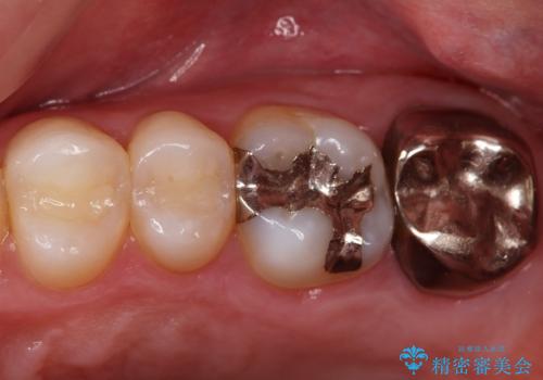
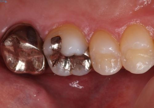
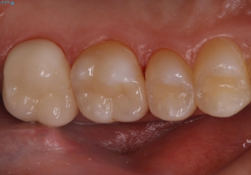
- 歯茎がよく腫れ、痛みが出ることを主訴に来院された患者様です。
レントゲン等から、金属の被せ物が歯にあって作られていないことがわかり、汚れの貯留もみられました。
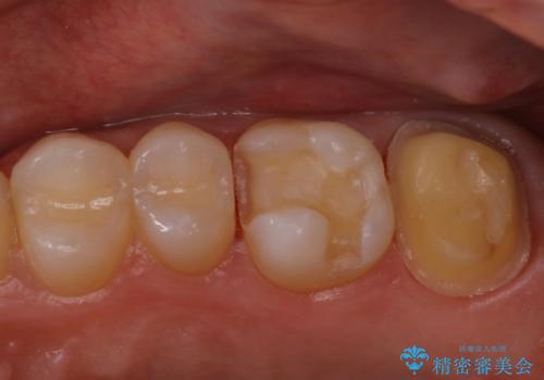
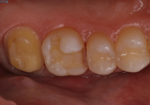
金属を除去し、虫歯の治療後に型取りを行い、清掃性、審美性に優れたセラミックインレー、セラミッククラウンを装着いたしました。
- 費用(概算)
- 198000円費用は治療当時の料金となります
治療について
新しい被せ物が入った後は、歯肉の腫れはなくなり、定期検診の際もプラーク等の貯留もみられなくなりました。
セラミック治療の注意事項(リスク・副作用など)
- 天然歯を削ります
- 硬い素材は天然歯を傷つけてしまう場合があります
- かみ合わせや歯ぎしりが強すぎる方はセラミックが割れてしまう可能性があります
- 自費診療(保険適用外治療)となります
当サイトの内容、テキスト、画像等の無断転載、複製、複写、盗用を固く禁じます。








