症例詳細
Case detail
【セラミックインレー】ホワイトニングしに来たら虫歯が見つかった
治療症例の内容
- 診療科目
- 治療カテゴリ
- 担当医
- 町田睦月(ドクタープロフィール)
- 患者様
- 50代男性
- 治療期間
- 1ヶ月
- 治療回数
- 2-5回
- 治療計画
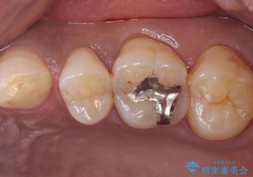
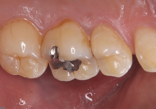
- 主訴:ホワイトニングしに来たが、虫歯が見つかった。
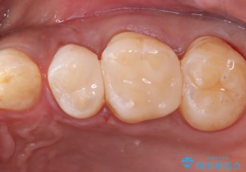
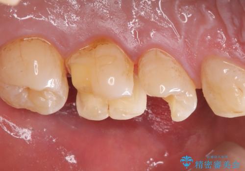
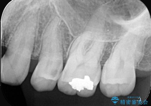
左上5番目の歯の側面に実質欠損を認め、隣の6番目の歯にも虫歯を認めたため両歯ともセラミックインレーでの治療となりました。
- 費用(概算)
- 154,000円費用は治療当時の料金となります
治療について
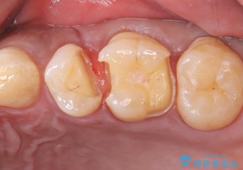
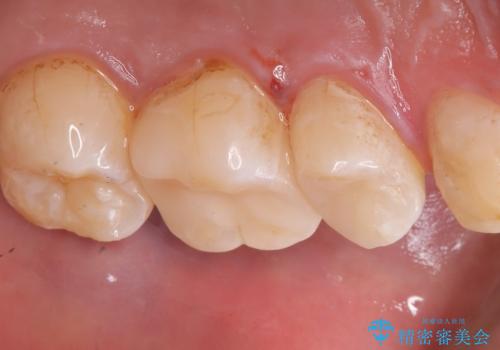
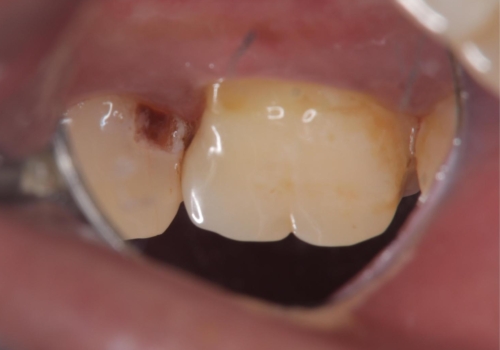
左上5番遠心に実質欠損を認め、さらに5番と6番の隣接面にもカリエスを認めました。6番の咬合面には、元々コンポジットレジン修復が施されており、劣化がみられたのでその部分も含め修復することとなりました。
セラミックインレーセット時は、ラバーダム防湿を行っています。
セラミック治療の注意事項(リスク・副作用など)
- 天然歯を削ります
- 硬い素材は天然歯を傷つけてしまう場合があります
- かみ合わせや歯ぎしりが強すぎる方はセラミックが割れてしまう可能性があります
- 自費診療(保険適用外治療)となります
当サイトの内容、テキスト、画像等の無断転載、複製、複写、盗用を固く禁じます。









