症例詳細
Case detail
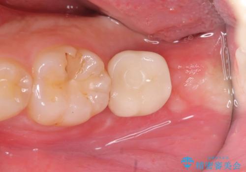
痛くないインプラント治療|1回の手術で終了!|エンドペリオ病変|オールセラミッククラウン
治療症例の内容
- 担当医
- 河野豊嘉(ドクタープロフィール)
- 患者様
- 20代男性
- 治療期間
- 5ヶ月
- 治療回数
- 2-5回
- 治療計画
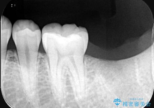
- 「歯茎の腫れ」を主訴に来院された患者様です。検査の結果、エンドペリオ病変と診断いたしました。
治療方針としては、保存的治療と抜歯後のインプラント治療の2つの選択肢をご提案させていただきました。
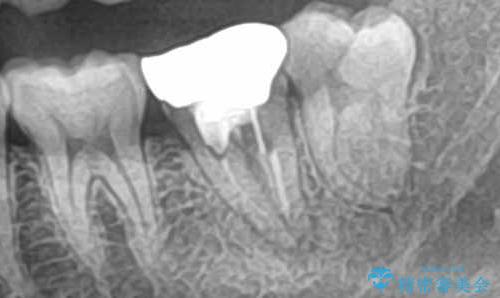
患者様ご自身が抜歯後のインプラント治療をご希望されたため、インプラントによる治療を行いました。
- 費用(概算)
- 495,000円(税込) (インプラント手術代とセラミッククラウン込み)費用は治療当時の料金となります
治療について
当院では、痛みの少ないインプラント治療を行っております。
実際に治療を受けられた多くの患者様からは、「腫れもなく、痛み止めをまったく使用しなかった、もしくは1〜3錠程度で済んだ」といったお声を頂いております。
インプラントの上部構造(被せ物)には「スクリュータイプ」と「セメントタイプ」の2種類がありますが、セメントタイプは残留セメントが原因となり、インプラント周囲炎を引き起こす可能性があります。
そのため、当院では基本的に清掃性やメンテナンス性に優れたスクリュータイプを採用しております。
インプラント治療の注意事項(リスク・副作用など)
- 外科手術のため、術後に痛みや腫れ、違和感を伴います
- メンテナンスを怠ったり喫煙により、お口の中に大きな悪影響を及ぼすインプラント周囲炎等にかかる可能性があります
- 糖尿病、肝硬変、心臓病等の場合、インプラント治療ができない可能性があります
- 高血圧、貧血・不整脈等の場合、インプラント治療後に治癒不全を招く可能性があります
- 自費診療(保険適用外治療)となります
セラミック治療の注意事項(リスク・副作用など)
- 天然歯を削ります
- 硬い素材は天然歯を傷つけてしまう場合があります
- かみ合わせや歯ぎしりが強すぎる方はセラミックが割れてしまう可能性があります
- 自費診療(保険適用外治療)となります
当サイトの内容、テキスト、画像等の無断転載、複製、複写、盗用を固く禁じます。











