症例詳細
Case detail
インビザラインモデレートによる前歯の叢生改善|IPR最小限で自然な歯並びへ
治療症例の内容
- 診療科目
- 治療カテゴリ
- 担当医
- 河口智英(ドクタープロフィール)
- 患者様
- 20代女性
- 矯正装置
- インビザライン
- 治療期間
- 11ヶ月
- 治療回数
- 5-10回
- 治療計画
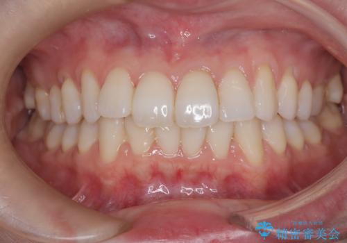
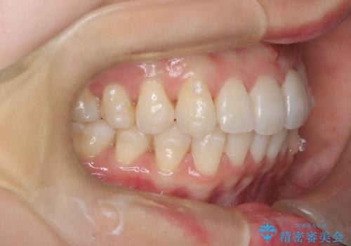
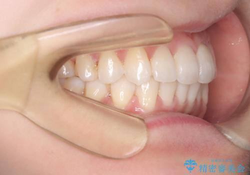
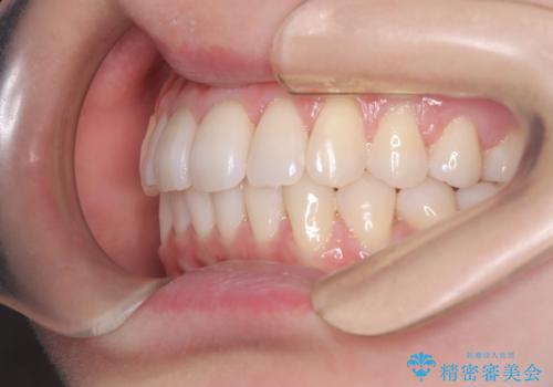
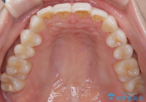
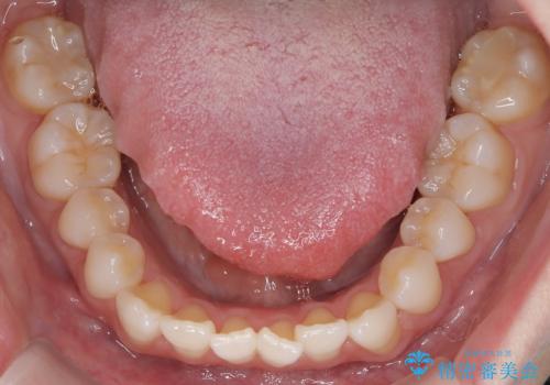
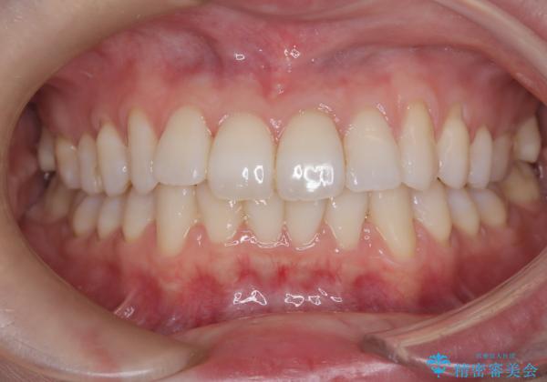
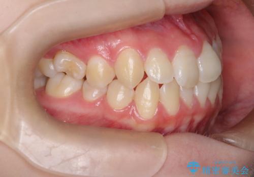
- 患者様は、**前歯の叢生(がたつき)**を気にされて来院されました。
できるだけ歯を削らずに、自然な歯並びを手に入れたいというご希望がありました。
診査の結果、中等度の叢生であったため、インビザラインモデレートでの対応が可能と判断しました。
歯へのダメージを抑えるため、IPR(歯間削合)は必要最小限にとどめる方針としました。
- 費用(概算)
- 55万円費用は治療当時の料金となります
治療について
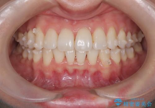
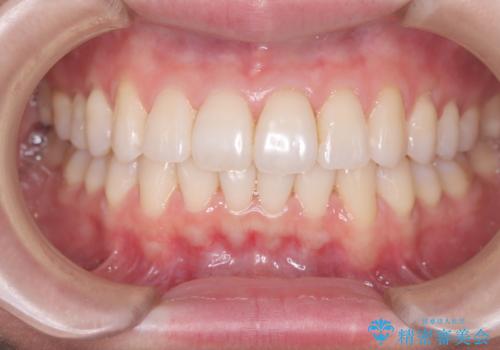
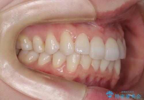
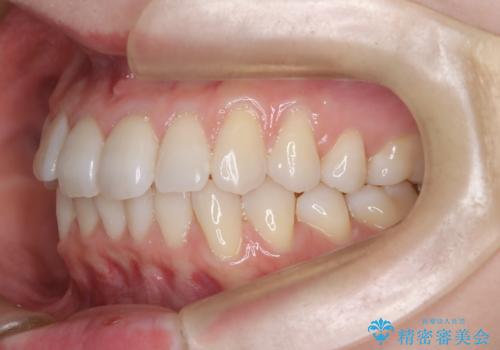
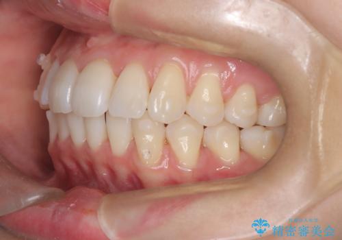
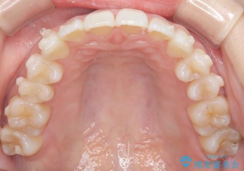
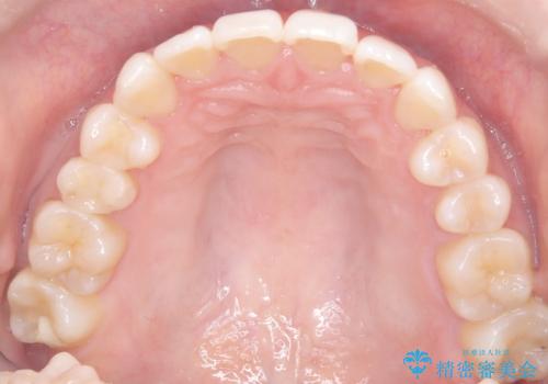
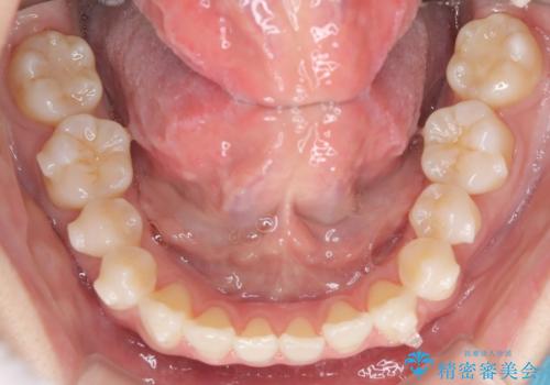
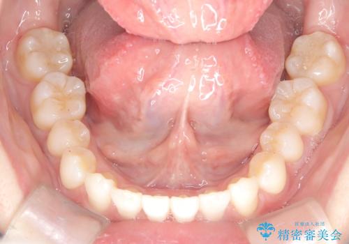
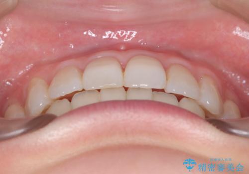
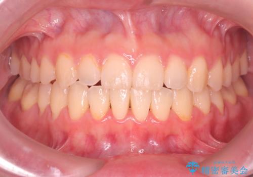
前歯の叢生は解消され、自然で調和の取れた歯並びが得られました。
「歯をほとんど削らずにきれいになった」と、患者様にもご満足いただけました。
マウスピース矯正の注意事項(リスク・副作用など)
- 口腔内・歯並びの状態によっては対応できない場合があります
- マウスピース型矯正装置の長時間装着(1日20時間以上)が必須です
- 治療計画通りに進めるためには、患者様の意志が重要になります
- 矯正治療後の保定が不十分だと後戻り(元の位置に戻ろうとする動き)をします
- 薬機法対象外の矯正歯科装置のため医薬品副作用被害救済制度の対象外となる場合があります
- 自費診療(保険適用外)となります
当サイトの内容、テキスト、画像等の無断転載、複製、複写、盗用を固く禁じます。

















