症例詳細
Case detail
ハーフリンガル矯正による前歯部の叢生改善と口元の後退|上顎左右4番・下顎1番抜歯症例
治療症例の内容
- 診療科目
- 担当医
- 河口智英(ドクタープロフィール)
- 患者様
- 30代男性
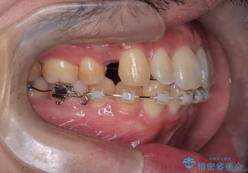
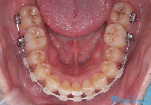
- 矯正装置
- ハーフリンガル
- 治療期間
- 3年
- 治療回数
- 10-30回
- 治療計画
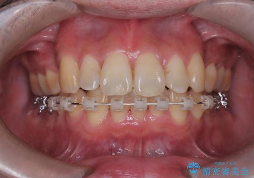
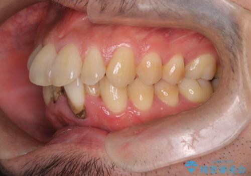
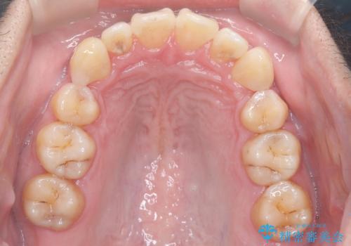
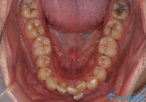
- 患者様は、**下顎前歯部のがたつき(叢生)と前方への突出感(口元の出っ張り)**を気にされて来院されました。
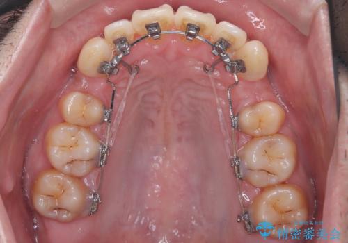
目立ちにくい装置をご希望されたため、上顎は裏側(リンガル)、下顎は表側(ラビアル)に装置をつけるハーフリンガル矯正をご提案しました。
精密検査の結果、
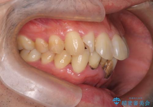
上顎は前突感を下げるために左右の第1小臼歯(4番)を抜歯
下顎は正中の1番(中切歯)1本が保存困難であったため、そこを抜歯
という治療方針を立てました。
通常の左右対称な抜歯ではありませんが、咬合や審美バランスを考慮し、非対称な抜歯計画としました。
- 費用(概算)
- 140万円費用は治療当時の料金となります
治療について
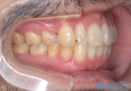
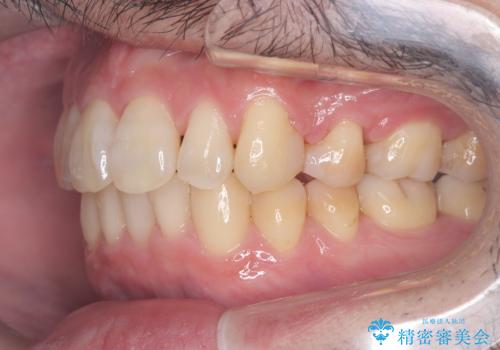
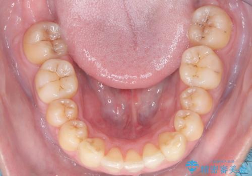
下顎前歯の叢生は解消され、上下の前歯は後方に移動して口元も自然に後退しました。
ハーフリンガル装置により、見た目のストレスが少ないまま治療を継続できた点にもご満足いただけました。
ワイヤー矯正の注意事項(リスク・副作用など)
- 治療中は違和感や痛みが起こることがあります
- 症状により、抜歯が必要な場合があります
- 治療中は歯磨きがしにくくなるため、虫歯や歯周病になりやすくなります
- 矯正治療後の保定が不十分だと後戻り(元の位置に戻ろうとする動き)をします
- 自費診療(保険適用外)となります
当サイトの内容、テキスト、画像等の無断転載、複製、複写、盗用を固く禁じます。















