症例詳細
Case detail
左下小臼歯|接触面カリエスに対するセラミックインレー修復
治療症例の内容
- 診療科目
- 治療カテゴリ
- 担当医
- 河口智英(ドクタープロフィール)
- 患者様
- 30代男性
- 治療期間
- 1ヶ月
- 治療回数
- 2-5回
- 治療計画
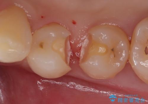
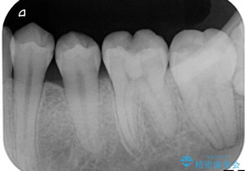
- 左下の第1・第2小臼歯の接触面にカリエスを認めました。
隣接面のため肉眼での確認が難しく、レントゲンにて診断を行ったのち、
マイクロスコープを使用して虫歯を丁寧に除去。
歯質の保存と適合精度、そして審美性を考慮し、セラミックインレーによる修復を行うこととしました。
- 費用(概算)
- 14万円費用は治療当時の料金となります
治療について
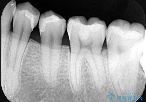
マイクロスコープ下でう蝕検知液を併用し、感染歯質のみを丁寧に除去しました。その後、適切な形態に形成を行い、精密な印象採得を行ってセラミックインレーを製作しました。
装着時には拡大視野でインレーの適合を確認しながら、ラバーダムも使用して確実な接着操作を行いました。
治療前後の写真をお見せしながら説明を行ったことで、患者様にも処置内容をご理解いただき、治療結果にご満足いただけました。
セラミック治療の注意事項(リスク・副作用など)
- 天然歯を削ります
- 硬い素材は天然歯を傷つけてしまう場合があります
- かみ合わせや歯ぎしりが強すぎる方はセラミックが割れてしまう可能性があります
- 自費診療(保険適用外治療)となります
当サイトの内容、テキスト、画像等の無断転載、複製、複写、盗用を固く禁じます。










