症例詳細
Case detail
再び気になり始めた前歯のがたつき|インビザラインによる再矯正
治療症例の内容
- 診療科目
- 治療カテゴリ
- 担当医
- 河口智英(ドクタープロフィール)
- 患者様
- 30代女性
- 矯正装置
- インビザライン
- 治療期間
- 1年
- 治療回数
- 5-10回
- 治療計画
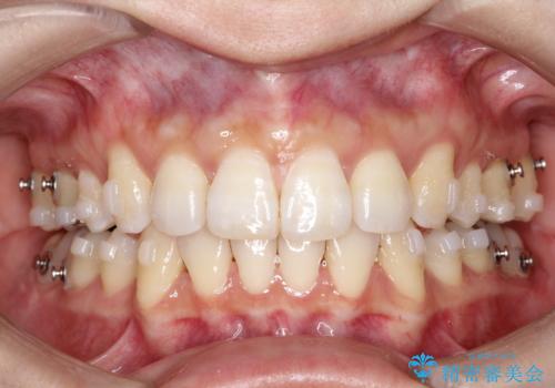
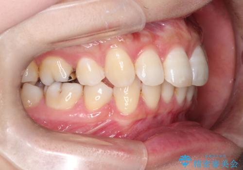
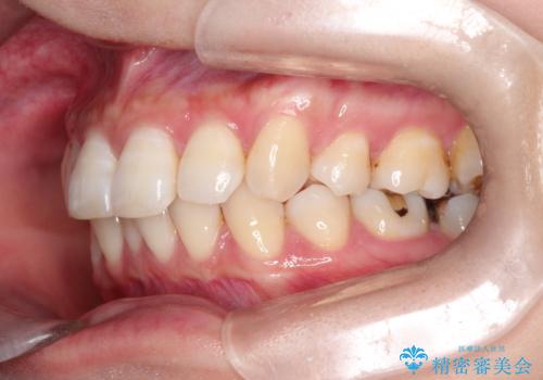
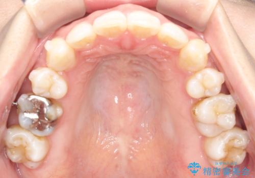
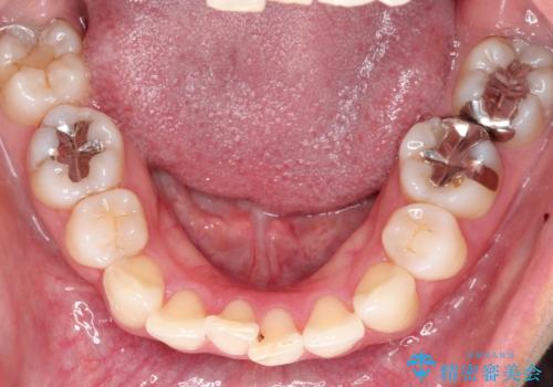
- 過去にワイヤー矯正のご経験がある患者様でしたが、最近になって下顎前歯の叢生(歯のがたつき)が再び気になり始めたことが主訴でした。
診査の結果、軽度の後戻りによる叢生であり、部分的な歯列の再配列によって改善可能と判断しました。
治療のご希望としては「できるだけ目立たず、取り外しできる装置での矯正」とのことでしたので、インビザラインによるマウスピース矯正をご提案しました。
- 費用(概算)
- 45万円費用は治療当時の料金となります
治療について
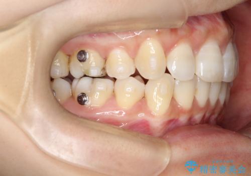
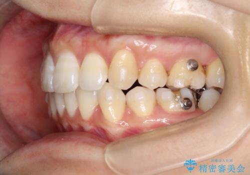
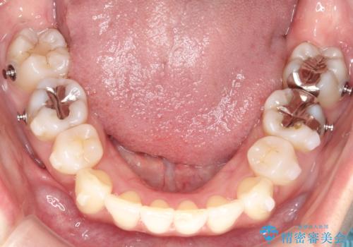
スキャンデータをもとに、前歯の並びを中心とした部分的なアライナー治療を計画しました。
アタッチメントを併用しながら、下顎前歯の位置関係と傾斜を細かくコントロールし、咬合バランスを整えていきました。
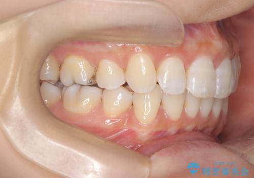
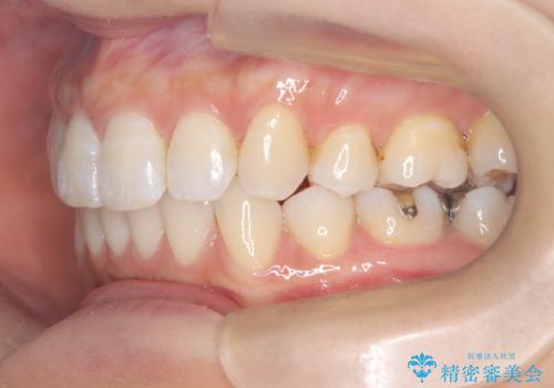
治療期間は比較的短期間で、患者様の負担が少なく、見た目にも配慮した矯正治療となりました。
経過中もご自身で取り外しができることで、清掃性が保たれ、口腔内の衛生状態も良好に維持されていました。
マウスピース矯正の注意事項(リスク・副作用など)
- 口腔内・歯並びの状態によっては対応できない場合があります
- マウスピース型矯正装置の長時間装着(1日20時間以上)が必須です
- 治療計画通りに進めるためには、患者様の意志が重要になります
- 矯正治療後の保定が不十分だと後戻り(元の位置に戻ろうとする動き)をします
- 薬機法対象外の矯正歯科装置のため医薬品副作用被害救済制度の対象外となる場合があります
- 自費診療(保険適用外)となります
当サイトの内容、テキスト、画像等の無断転載、複製、複写、盗用を固く禁じます。















